Вы не авторизованы.
СЛОЖНЫЙ СЛУЧАЙ
- ДМИТРИЙ
-
Автор темы
- Не в сети
- Administrator
-
- Когда есть мечта, идея и решимость — возможно все!
Ваше мнение коллеги, какое сделаем уз-заключение!
Пожалуйста Войти или Регистрация, чтобы присоединиться к беседе.
- Сергей
-
- Не в сети
- Осваиваюсь пока
-
- Сообщений: 219
- Спасибо получено: 234
Пожалуйста Войти или Регистрация, чтобы присоединиться к беседе.
- ДМИТРИЙ
-
Автор темы
- Не в сети
- Administrator
-
- Когда есть мечта, идея и решимость — возможно все!
Пожалуйста Войти или Регистрация, чтобы присоединиться к беседе.
- Алексей
-
- Не в сети
- Живу я здесь
-
- Сообщений: 1853
- Спасибо получено: 2181
Пожалуйста Войти или Регистрация, чтобы присоединиться к беседе.
- Сергей
-
- Не в сети
- Осваиваюсь пока
-
- Сообщений: 219
- Спасибо получено: 234
Пожалуйста Войти или Регистрация, чтобы присоединиться к беседе.
- Ната
-
- Не в сети
- Завсегдатай
-
- Сообщений: 1280
- Спасибо получено: 770
Поддержу Алексея,я за частичный разрыв.С учетом факта травмы я бы расценил как частичный разрыв (ЗКС).
Пожалуйста Войти или Регистрация, чтобы присоединиться к беседе.
- ДМИТРИЙ
-
Автор темы
- Не в сети
- Administrator
-
- Когда есть мечта, идея и решимость — возможно все!
Пожалуйста Войти или Регистрация, чтобы присоединиться к беседе.
- ДМИТРИЙ
-
Автор темы
- Не в сети
- Administrator
-
- Когда есть мечта, идея и решимость — возможно все!
Пожалуйста Войти или Регистрация, чтобы присоединиться к беседе.
- spar11
-
- Не в сети
- Новый участник
-
- Сообщений: 27
- Спасибо получено: 3
Пожалуйста Войти или Регистрация, чтобы присоединиться к беседе.
- ДМИТРИЙ
-
Автор темы
- Не в сети
- Administrator
-
- Когда есть мечта, идея и решимость — возможно все!
Учитывая что это спортивная травма,по любому назначат мрт. Чего гадать??????????????????????????
А зачем вам вообще УЗИ суставов, сразу всех на МРТ.
Ох эти Гомельчане.
Да и гадать здесь нечего, в данном случае частичный разрыв ЗКС и ПКС в проксимальной части.
Пожалуйста Войти или Регистрация, чтобы присоединиться к беседе.
- spar11
-
- Не в сети
- Новый участник
-
- Сообщений: 27
- Спасибо получено: 3
Никого не хочу обидеть!!!!!!!!!!!!!!
Пожалуйста Войти или Регистрация, чтобы присоединиться к беседе.
- ДМИТРИЙ
-
Автор темы
- Не в сети
- Administrator
-
- Когда есть мечта, идея и решимость — возможно все!
УЗИ суставов - это скрининговый метод. Как можно достоверно оценить внутрисуставные связки,когда везде в литературе говориться,что это только по МРТ судится.
Никого не хочу обидеть!!!!!!!!!!!!!!
Вот я по УЗИ и выставил данное заключение, теперь если кому не верится из клиницистов, пусть направляют на МРТ, как правило я редко ошибался.
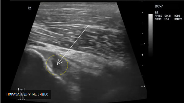
Из видео четко видно, что обе связки резко утолщены и имеются несколько участко частичного разрыва.
ЗКС:
ПКС:
Пожалуйста Войти или Регистрация, чтобы присоединиться к беседе.
Дни рождения
- Ирина
- uzidoc 1 день
- Светлана 1 день
- борис 2 дн.
- Борис 2 дн.
- Emil 3 дн.
- Виктор 4 дн.
- alisa 6 дн.
- валентина 10 дн.
- Shafiqa 13 дн.
- Валик 14 дн.
- Людмила 20 дн.
- Альбина 22 дн.
- Анастасия 22 дн.
- хомутов сергей владимирович 22 дн.
- ДМИТРИЙ 23 дн.

