Вы не авторизованы.
- Форум
- Форум врачей УЗД
- Интересный случай
- Костно-мышечная система
- Соответствие УЗИ и рентгенограммы при дисплазии тазобедренных суставов
Соответствие УЗИ и рентгенограммы при дисплазии тазобедренных суставов
- Козик Алексей
-
Автор темы
- Не в сети
- Новый участник
-
11 года 9 мес. назад - 11 года 9 мес. назад #12889
от Козик Алексей
Ортопед-травматолог
Козик Алексей создал тему: Соответствие УЗИ и рентгенограммы при дисплазии тазобедренных суставов
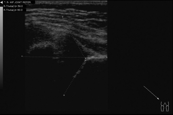
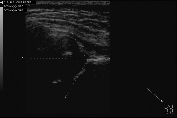
Доброго всем дня. Интересный случай сегодня: клинически у ребенка (2,5 месяца) все нормально -- отведение в полном объеме, ротация -- норма. Складки -- симметрия. Но!!! В анамнезе у мамы ребенка врожденный вывих бедра. Решил выполнить УЗИ:
Учитывая, что наши ортопеды в большинстве случаев УЗИ тазобедренных суставов считают чем-то вроде танца с бубном решил сделать и рентгенограмму:
Таким образом видим полное соответствие УЗИ картины -- рентгенограмме.
Учитывая, что наши ортопеды в большинстве случаев УЗИ тазобедренных суставов считают чем-то вроде танца с бубном решил сделать и рентгенограмму:
Таким образом видим полное соответствие УЗИ картины -- рентгенограмме.
Ортопед-травматолог
Последнее редактирование: 11 года 9 мес. назад пользователем Козик Алексей.
Спасибо сказали: ДМИТРИЙ, Наталья
Пожалуйста Войти или Регистрация, чтобы присоединиться к беседе.
- ДМИТРИЙ
-
- Не в сети
- Administrator
-
- Когда есть мечта, идея и решимость — возможно все!
11 года 9 мес. назад #12892
от ДМИТРИЙ
ДМИТРИЙ ответил в теме Соответствие УЗИ и рентгенограммы при дисплазии тазобедренных суставов
Спасибо за пример!
Я то же об этом уже твержу 10 лет, т.е с момента как начал заниматься УЗД дисплазий т.суставов у детей.
Я то же об этом уже твержу 10 лет, т.е с момента как начал заниматься УЗД дисплазий т.суставов у детей.
Пожалуйста Войти или Регистрация, чтобы присоединиться к беседе.
- Козик Алексей
-
Автор темы
- Не в сети
- Новый участник
-
11 года 9 мес. назад #13348
от Козик Алексей
Ортопед-травматолог
Козик Алексей ответил в теме Соответствие УЗИ и рентгенограммы при дисплазии тазобедренных суставов
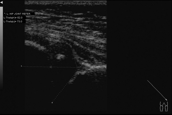
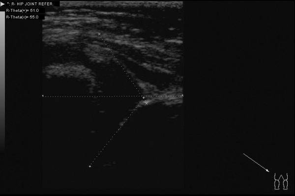
Вот еще пример, когда УЗИ картина не совсем соответствует истине:
Ребенок 6 месяцев, до обращения в наш центр неоднократно осмотрен ортопедами. Клинически -- полная норма, но насторожила какая-то чуть избыточная ротация в левом бедре. Решил выполнить УЗИ:
По УЗИ дисплазия слева, достаточно тяжелая. Может и подвывих, если придраться.
А на рентгене -- полный врожденный вывих, головка лежит вне сустава.
Тактика лечения -- другая, прогнозы - другие.
Ребенок 6 месяцев, до обращения в наш центр неоднократно осмотрен ортопедами. Клинически -- полная норма, но насторожила какая-то чуть избыточная ротация в левом бедре. Решил выполнить УЗИ:
По УЗИ дисплазия слева, достаточно тяжелая. Может и подвывих, если придраться.
А на рентгене -- полный врожденный вывих, головка лежит вне сустава.
Тактика лечения -- другая, прогнозы - другие.
Ортопед-травматолог
Спасибо сказали: Наталья
Пожалуйста Войти или Регистрация, чтобы присоединиться к беседе.
- Илья
-
- Не в сети
- Живу я здесь
-
- Специалист по синхронному эхосканированию.
Меньше
Больше
- Сообщений: 3512
- Спасибо получено: 1935
11 года 9 мес. назад #13353
от Илья
Илья ответил в теме Соответствие УЗИ и рентгенограммы при дисплазии тазобедренных суставов
После узи тазобедренных суставов я проверяю руками (ротацию, наличие симптома Маркса-Ортолани и т.п.), и это мне помогает.
Но на счет только УЗИ есть 5% недоверия к методике.Это ведь положение ребенка, горизонтальная линия тела подвздошной кости и т.д., столько нюансов надо соблюсти и выполнить, чтобы получилась грамотная картинка...
А травматологи все твердят про расхождение узи результатов и клиники?
Вобщем, вопрос остается вопросом, при всем уважении к УЗИ.
Но на счет только УЗИ есть 5% недоверия к методике.Это ведь положение ребенка, горизонтальная линия тела подвздошной кости и т.д., столько нюансов надо соблюсти и выполнить, чтобы получилась грамотная картинка...
А травматологи все твердят про расхождение узи результатов и клиники?
Вобщем, вопрос остается вопросом, при всем уважении к УЗИ.
Пожалуйста Войти или Регистрация, чтобы присоединиться к беседе.
- ДМИТРИЙ
-
- Не в сети
- Administrator
-
- Когда есть мечта, идея и решимость — возможно все!
11 года 9 мес. назад #13356
от ДМИТРИЙ
ДМИТРИЙ ответил в теме Соответствие УЗИ и рентгенограммы при дисплазии тазобедренных суставов
Алексей, в данном(последнем)приведенном вами случае, какой вы лично сделали вывод?
Пожалуйста Войти или Регистрация, чтобы присоединиться к беседе.
- Козик Алексей
-
Автор темы
- Не в сети
- Новый участник
-
11 года 9 мес. назад #13361
от Козик Алексей
Ваши слова практически повторяют ход моих мыслей :) Я -- двумя руками за РАННЮЮ!!! УЗИ - диагностику, до 1 месяца, когда рентгенографическая диагностика нам мало чего дает. С ростом ребенка диагностическая помощь от УЗИ уменьшается, а от рентгена -- возрастает. Просто всегда остаются пресловутые "ножницы" расхождения в диагнозах УЗИ, рентгена и клиники и всегда возникает вопрос: чему больше доверять: интуиции? УЗИ, рентгену?
Ортопед-травматолог
Козик Алексей ответил в теме Соответствие УЗИ и рентгенограммы при дисплазии тазобедренных суставов
После узи тазобедренных суставов я проверяю руками (ротацию, наличие симптома Маркса-Ортолани и т.п.), и это мне помогает.
Но на счет только УЗИ есть 5% недоверия к методике.Это ведь положение ребенка, горизонтальная линия тела подвздошной кости и т.д., столько нюансов надо соблюсти и выполнить, чтобы получилась грамотная картинка...
А травматологи все твердят про расхождение узи результатов и клиники?
Вобщем, вопрос остается вопросом, при всем уважении к УЗИ.
Ваши слова практически повторяют ход моих мыслей :) Я -- двумя руками за РАННЮЮ!!! УЗИ - диагностику, до 1 месяца, когда рентгенографическая диагностика нам мало чего дает. С ростом ребенка диагностическая помощь от УЗИ уменьшается, а от рентгена -- возрастает. Просто всегда остаются пресловутые "ножницы" расхождения в диагнозах УЗИ, рентгена и клиники и всегда возникает вопрос: чему больше доверять: интуиции? УЗИ, рентгену?
Ортопед-травматолог
Пожалуйста Войти или Регистрация, чтобы присоединиться к беседе.
- ДМИТРИЙ
-
- Не в сети
- Administrator
-
- Когда есть мечта, идея и решимость — возможно все!
11 года 9 мес. назад - 11 года 9 мес. назад #13363
от ДМИТРИЙ
И чему доверять?
Интуицию я откидываю.
Я скажу так.
УЗИ очень чувствительный метод, но таит подводные камни и что бы исследование было достоверным, нужно иметь хороший опыт работы, т.к я вам из любой нормы, изменяя угол сканирования, сделаю патологию и на оборот из патологии норму.
ДМИТРИЙ ответил в теме Соответствие УЗИ и рентгенограммы при дисплазии тазобедренных суставов
Просто всегда остаются пресловутые "ножницы" расхождения в диагнозах УЗИ, рентгена и клиники и всегда возникает вопрос: чему больше доверять: интуиции? УЗИ, рентгену?
И чему доверять?
Интуицию я откидываю.
Я скажу так.
УЗИ очень чувствительный метод, но таит подводные камни и что бы исследование было достоверным, нужно иметь хороший опыт работы, т.к я вам из любой нормы, изменяя угол сканирования, сделаю патологию и на оборот из патологии норму.
Последнее редактирование: 11 года 9 мес. назад пользователем ДМИТРИЙ.
Пожалуйста Войти или Регистрация, чтобы присоединиться к беседе.
- Козик Алексей
-
Автор темы
- Не в сети
- Новый участник
-
11 года 9 мес. назад #13364
от Козик Алексей
Мой вывод для себя и коллег такой: надо пропагандировать МАКСИМАЛЬНО ранний (в первый месяц жизни) УЗИ скрининг. Возможно даже памятки мамам давать в роддоме (что я и планирую делать :) )
Ортопед-травматолог
Козик Алексей ответил в теме Соответствие УЗИ и рентгенограммы при дисплазии тазобедренных суставов
Алексей, в данном(последнем)приведенном вами случае, какой вы лично сделали вывод?
Мой вывод для себя и коллег такой: надо пропагандировать МАКСИМАЛЬНО ранний (в первый месяц жизни) УЗИ скрининг. Возможно даже памятки мамам давать в роддоме (что я и планирую делать :) )
Ортопед-травматолог
Пожалуйста Войти или Регистрация, чтобы присоединиться к беседе.
- Козик Алексей
-
Автор темы
- Не в сети
- Новый участник
-
11 года 9 мес. назад #13365
от Козик Алексей
Ортопед-травматолог
Козик Алексей ответил в теме Соответствие УЗИ и рентгенограммы при дисплазии тазобедренных суставов
Согласен с Вами полностью. У нас, к сожалению, опыта не так много. Может лет через 5 мы наработаем умение и изменим подходы. Но пока доверять на 100% УЗИ и не делать рентгенограмму таза после 3 месяцев как-то боязно.
Просто всегда остаются пресловутые "ножницы" расхождения в диагнозах УЗИ, рентгена и клиники и всегда возникает вопрос: чему больше доверять: интуиции? УЗИ, рентгену?
И чему доверять?
Интуицию я откидываю.
Я скажу та.
УЗИ очень чувствительный метод, но таит подводные камни и что бы исследование было достоверным, нужно иметь хороший опыт работы, т.к я вам из любой нормы, изменяя угол сканирования, сделаю патологию и на оборот из патологии норму.
Ортопед-травматолог
Пожалуйста Войти или Регистрация, чтобы присоединиться к беседе.
- Форум
- Форум врачей УЗД
- Интересный случай
- Костно-мышечная система
- Соответствие УЗИ и рентгенограммы при дисплазии тазобедренных суставов
Дни рождения
- В ближайшее время дней рождения участников - нет

