Вы не авторизованы.
- Форум
- Форум врачей УЗД
- Ординаторская для врачей
- Рабочие вопросы
- Опыт в измерении Длины Щитовидной железы.
Опыт в измерении Длины Щитовидной железы.
- Николай
-
Автор темы
- Не в сети
- Осваиваюсь пока
-
Меньше
Больше
- Сообщений: 184
- Спасибо получено: 41
12 года 4 мес. назад #6612
от Николай
Николай создал тему: Опыт в измерении Длины Щитовидной железы.
Здравствуйте. А вот у меня такой вопрос- я линейкой не могу четко померить длину щитовидной железы, практически в 50% случаев....аппарат medison eko 7 ... и как тогда поступить? только совмещать картинку на 2х экранах?
Пожалуйста Войти или Регистрация, чтобы присоединиться к беседе.
- Серёга Антошин
-
- Не в сети
- Живу я здесь
-
- Не усложняй - когда все просто...
Меньше
Больше
- Сообщений: 5848
- Спасибо получено: 1110
12 года 4 мес. назад - 12 года 4 мес. назад #6613
от Серёга Антошин
Репутация многих клиницистов, похоронена в забрюшинном пространстве (с) Черкес и соавторы
Серёга Антошин ответил в теме Опыт в измерении Длины Щитовидной железы.
я не заморачиваюсь
Репутация многих клиницистов, похоронена в забрюшинном пространстве (с) Черкес и соавторы
Последнее редактирование: 12 года 4 мес. назад пользователем Серёга Антошин.
Спасибо сказали: Николай
Пожалуйста Войти или Регистрация, чтобы присоединиться к беседе.
- ДМИТРИЙ
-
- Не в сети
- Administrator
-
- Когда есть мечта, идея и решимость — возможно все!
12 года 4 мес. назад - 12 года 4 мес. назад #6614
от ДМИТРИЙ
ДМИТРИЙ ответил в теме Опыт в измерении Длины Щитовидной железы.
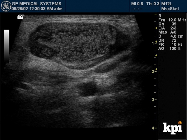
Николай, на вашем сканере должна быть функция Виртуального конвекса на линейном датчике.
Найдите ее и тогда ваша линейкса превратится в конвекс и щитовидка начнет в основном влезать во весь экран.
Получится примерно так:
Найдите ее и тогда ваша линейкса превратится в конвекс и щитовидка начнет в основном влезать во весь экран.
Получится примерно так:
Последнее редактирование: 12 года 4 мес. назад пользователем ДМИТРИЙ.
Спасибо сказали: Николай
Пожалуйста Войти или Регистрация, чтобы присоединиться к беседе.
- Лариса
-
- Не в сети
- Захожу иногда
-
Меньше
Больше
- Сообщений: 319
- Спасибо получено: 56
12 года 4 мес. назад #6615
от Лариса
Лариса ответил в теме Опыт в измерении Длины Щитовидной железы.
Меряю обычным конвексом в режиме "поверхностные органы".
Пожалуйста Войти или Регистрация, чтобы присоединиться к беседе.
- Михаил
-
- Не в сети
- Живу я здесь
-
Меньше
Больше
- Сообщений: 2490
- Спасибо получено: 1253
12 года 4 мес. назад #6618
от Михаил
Михаил ответил в теме Опыт в измерении Длины Щитовидной железы.
Если уж так надо,то можно действительно конвексным датчиком измерить
Пожалуйста Войти или Регистрация, чтобы присоединиться к беседе.
- SWETLANA
-
- Не в сети
- Захожу иногда
-
Меньше
Больше
- Сообщений: 329
- Спасибо получено: 549
12 года 4 мес. назад #6622
от SWETLANA
SWETLANA ответил в теме Опыт в измерении Длины Щитовидной железы.
Николай, на медисоне EKO 7 есть кнопка "Трапеция" -это кнопка под экраном панели управления, она действует в режиме линейного датчика и разворачивает углы как показал Дмитрий
Спасибо сказали: Николай
Пожалуйста Войти или Регистрация, чтобы присоединиться к беседе.
- Николай
-
Автор темы
- Не в сети
- Осваиваюсь пока
-
Меньше
Больше
- Сообщений: 184
- Спасибо получено: 41
12 года 4 мес. назад #6627
от Николай
Николай ответил в теме Опыт в измерении Длины Щитовидной железы.
большое всем спасибки)))
Пожалуйста Войти или Регистрация, чтобы присоединиться к беседе.
- Форум
- Форум врачей УЗД
- Ординаторская для врачей
- Рабочие вопросы
- Опыт в измерении Длины Щитовидной железы.
Дни рождения
- В ближайшее время дней рождения участников - нет

