Вы не авторизованы.
вопрос по LOGIQ P5
- ДМИТРИЙ
-
- Не в сети
- Administrator
-
- Когда есть мечта, идея и решимость — возможно все!
12 года 2 нед. назад #9910
от ДМИТРИЙ
ДМИТРИЙ ответил в теме вопрос по LOGIQ P5
И посмотреть, может там размеры картинок выставить можно!
Пожалуйста Войти или Регистрация, чтобы присоединиться к беседе.
- Sportdoc
-
Автор темы
- Не в сети
- Осваиваюсь пока
-
Меньше
Больше
- Сообщений: 150
- Спасибо получено: 28
12 года 2 нед. назад #9930
от Sportdoc
Эксперт - человек, который перестал думать, потому что он знает.
Sportdoc ответил в теме вопрос по LOGIQ P5
теперь вот так получилось
Эксперт - человек, который перестал думать, потому что он знает.
Пожалуйста Войти или Регистрация, чтобы присоединиться к беседе.
- КИРИЛЛ
-
- Не в сети
- Moderator
-
- Тяжело в лечении, легко в раю. Моя интерпретация А.В. Суворова
12 года 2 нед. назад - 12 года 2 нед. назад #9931
от КИРИЛЛ
Последнее редактирование: 12 года 2 нед. назад пользователем КИРИЛЛ.
Пожалуйста Войти или Регистрация, чтобы присоединиться к беседе.
- Sportdoc
-
Автор темы
- Не в сети
- Осваиваюсь пока
-
Меньше
Больше
- Сообщений: 150
- Спасибо получено: 28
12 года 2 нед. назад - 12 года 2 нед. назад #9932
от Sportdoc
Эксперт - человек, который перестал думать, потому что он знает.
Sportdoc ответил в теме вопрос по LOGIQ P5
В этих файлах отменила сжатие (nonе))))
Эксперт - человек, который перестал думать, потому что он знает.
Последнее редактирование: 12 года 2 нед. назад пользователем Sportdoc.
Пожалуйста Войти или Регистрация, чтобы присоединиться к беседе.
- Sportdoc
-
Автор темы
- Не в сети
- Осваиваюсь пока
-
Меньше
Больше
- Сообщений: 150
- Спасибо получено: 28
12 года 2 нед. назад #9933
от Sportdoc
Эксперт - человек, который перестал думать, потому что он знает.
Sportdoc ответил в теме вопрос по LOGIQ P5
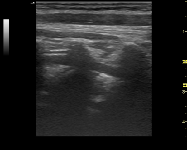
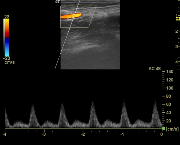
Тоже, вроде, ничего получилось. Ну, теперь я продвинутый юзер))) 
А в каких ещё форматах можно здесь выкладывать сканы (аппарат предлагает RawDicom, Dicom, Wmv, avi, BMP)?
А в каких ещё форматах можно здесь выкладывать сканы (аппарат предлагает RawDicom, Dicom, Wmv, avi, BMP)?
Эксперт - человек, который перестал думать, потому что он знает.
Пожалуйста Войти или Регистрация, чтобы присоединиться к беседе.
- КИРИЛЛ
-
- Не в сети
- Moderator
-
- Тяжело в лечении, легко в раю. Моя интерпретация А.В. Суворова
12 года 2 нед. назад - 12 года 2 нед. назад #9934
от КИРИЛЛ
КИРИЛЛ ответил в теме вопрос по LOGIQ P5
Нормально все получилось. AVI - видео и jpeg - картинки и без сжатия, а то качество теряется. Дмитрий даст ссылку как на сайт случаи публиковать или сами поищите в помощи на сайте. Не забудьте про вирусы. Свой рабочий компьютер обезопасьте от проблем иначе вирусы могут перекинуться на прибор, тогда возникают проблемы! Удачи
Последнее редактирование: 12 года 2 нед. назад пользователем КИРИЛЛ.
Пожалуйста Войти или Регистрация, чтобы присоединиться к беседе.
- Sportdoc
-
Автор темы
- Не в сети
- Осваиваюсь пока
-
Меньше
Больше
- Сообщений: 150
- Спасибо получено: 28
12 года 2 нед. назад #9938
от Sportdoc
Эксперт - человек, который перестал думать, потому что он знает.
Sportdoc ответил в теме вопрос по LOGIQ P5
Ага, ясно. А на счёт вирусов - у меня на рабочем компьютере линукс стоит, а он, говорят, вирусы не ловит?
Эксперт - человек, который перестал думать, потому что он знает.
Пожалуйста Войти или Регистрация, чтобы присоединиться к беседе.
Дни рождения
- В ближайшее время дней рождения участников - нет

