Вы не авторизованы.
- Форум
- Форум врачей УЗД
- Ординаторская для врачей
- Рабочие вопросы
- меняет ли тактику ведения пациентов диагностика аортомезентериального пинцета?
меняет ли тактику ведения пациентов диагностика аортомезентериального пинцета?
- Илья
-
Автор темы
- Не в сети
- Живу я здесь
-
- Специалист по синхронному эхосканированию.
Меньше
Больше
- Сообщений: 3512
- Спасибо получено: 1935
11 года 4 мес. назад #16852
от Илья
Дорогие коллеги! Я опять про старую тему.
Диагностика аортомезентериального пинцета. Есть или нет нутрейкер феномена. Но как влияет эта информация на общее ведение пациента с варикоцеле. Ведь всё-равно рано или поздно его прооперируют и всё исчезнет. Почему взрослым пациентам с варикоцеле помимо мошонки смотрят аортомезентериальный пинцет (тактикав ведения ведь не измененится от этого)?
Диагностика аортомезентериального пинцета. Есть или нет нутрейкер феномена. Но как влияет эта информация на общее ведение пациента с варикоцеле. Ведь всё-равно рано или поздно его прооперируют и всё исчезнет. Почему взрослым пациентам с варикоцеле помимо мошонки смотрят аортомезентериальный пинцет (тактикав ведения ведь не измененится от этого)?
Пожалуйста Войти или Регистрация, чтобы присоединиться к беседе.
- ДМИТРИЙ
-
- Не в сети
- Administrator
-
- Когда есть мечта, идея и решимость — возможно все!
11 года 4 мес. назад #16856
от ДМИТРИЙ
ДМИТРИЙ ответил в теме меняет ли тактику ведения пациентов диагностика аортомезентериального пинцета?
Потому что левая яичниковая вена впадает в левую почечную вену.
И нарушение кровотока в левой почечной вене может привести к варикоцеле.
И нарушение кровотока в левой почечной вене может привести к варикоцеле.
Спасибо сказали: Илья
Пожалуйста Войти или Регистрация, чтобы присоединиться к беседе.
- Илья
-
Автор темы
- Не в сети
- Живу я здесь
-
- Специалист по синхронному эхосканированию.
Меньше
Больше
- Сообщений: 3512
- Спасибо получено: 1935
11 года 4 мес. назад #16857
от Илья
Илья ответил в теме меняет ли тактику ведения пациентов диагностика аортомезентериального пинцета?
Согласен и сам так же считаю. Но если пациент впревые обследуется с варикоцеле 1-2 степени. И будет у него рецидив не известно.
Поэтому напрашивается вывод смотреть аортомезентериальный пинцет только при рецидивах.Или всем варикоцеле повально.
Поэтому напрашивается вывод смотреть аортомезентериальный пинцет только при рецидивах.Или всем варикоцеле повально.
Пожалуйста Войти или Регистрация, чтобы присоединиться к беседе.
- ДМИТРИЙ
-
- Не в сети
- Administrator
-
- Когда есть мечта, идея и решимость — возможно все!
11 года 4 мес. назад - 11 года 4 мес. назад #16858
от ДМИТРИЙ
Всем.
Тем более, что это не займет много времени.
ДМИТРИЙ ответил в теме меняет ли тактику ведения пациентов диагностика аортомезентериального пинцета?
Согласен и сам так же считаю. Но если пациент впревые обследуется с варикоцеле 1-2 степени. И будет у него рецидив не известно.
Поэтому напрашивается вывод смотреть аортомезентериальный пинцет только при рецидивах.Или всем варикоцеле повально.
Всем.
Тем более, что это не займет много времени.
Последнее редактирование: 11 года 4 мес. назад пользователем ДМИТРИЙ.
Спасибо сказали: Илья
Пожалуйста Войти или Регистрация, чтобы присоединиться к беседе.
- Илья
-
Автор темы
- Не в сети
- Живу я здесь
-
- Специалист по синхронному эхосканированию.
Меньше
Больше
- Сообщений: 3512
- Спасибо получено: 1935
11 года 4 мес. назад #16859
от Илья
Но интересно, как аргументируют тотальный осмотр варикоцеле сами урологи?
Мы то УЗИсты имеем свое мнение, а как же клиницисты объясняют эту целесообразность осмотра?
Илья ответил в теме меняет ли тактику ведения пациентов диагностика аортомезентериального пинцета?
Мы то УЗИсты имеем свое мнение, а как же клиницисты объясняют эту целесообразность осмотра?
Пожалуйста Войти или Регистрация, чтобы присоединиться к беседе.
- Илья
-
Автор темы
- Не в сети
- Живу я здесь
-
- Специалист по синхронному эхосканированию.
Меньше
Больше
- Сообщений: 3512
- Спасибо получено: 1935
10 года 11 мес. назад - 10 года 11 мес. назад #20421
от Илья
Илья ответил в теме меняет ли тактику ведения пациентов диагностика аортомезентериального пинцета?
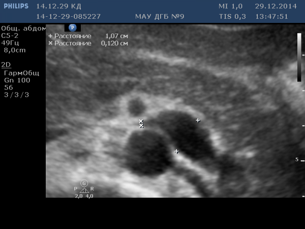
Вот пример из практики. У пациента (подростка) варикоцеле слева 3 степени. Фото - на уровне аортомезентериального отдела. Определяется расширенная левая почечная вена.
Последнее редактирование: 10 года 11 мес. назад пользователем ОЛЕГ.
Спасибо сказали: Ольга, Геннадьевич, Светлана Петровна
Пожалуйста Войти или Регистрация, чтобы присоединиться к беседе.
- Форум
- Форум врачей УЗД
- Ординаторская для врачей
- Рабочие вопросы
- меняет ли тактику ведения пациентов диагностика аортомезентериального пинцета?
Дни рождения
- В ближайшее время дней рождения участников - нет

