Вы не авторизованы.
Киста уретры
- Галина
-
Автор темы
- Не в сети
- Новый участник
-
Меньше
Больше
- Сообщений: 6
- Спасибо получено: 2
11 года 3 мес. назад - 11 года 3 мес. назад #17287
от Галина
Галина создал тему: Киста уретры
Кто диагностировал кисту уретры на УЗИ у женщины? Поделитесь фото и описанием.
Последнее редактирование: 11 года 3 мес. назад пользователем Галина.
Пожалуйста Войти или Регистрация, чтобы присоединиться к беседе.
- ДМИТРИЙ
-
- Не в сети
- Administrator
-
- Когда есть мечта, идея и решимость — возможно все!
11 года 3 мес. назад #17289
от ДМИТРИЙ
А у вас что был случай по этой теме?
ДМИТРИЙ ответил в теме Киста уретры
Кто диагностировал кисту уретры на УЗИ у женщины? Поделитесь фото и описанием.
А у вас что был случай по этой теме?
Пожалуйста Войти или Регистрация, чтобы присоединиться к беседе.
- Галина
-
Автор темы
- Не в сети
- Новый участник
-
Меньше
Больше
- Сообщений: 6
- Спасибо получено: 2
11 года 3 мес. назад - 11 года 3 мес. назад #17304
от Галина
Галина ответил в теме Киста уретры
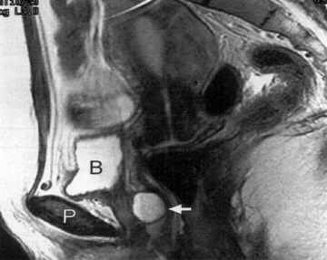
Диагноз поставлен женщине гинекологом , на УЗИ была неподготовленная , с пустым мочевым пузырем , придет повторно через неделю . Предварительно ( трансабдоминально ) рядом с маткой жидкостное образование 37 мм диаметром , с гомогенным содержимым . Похоже на кисту яичника . Ищу литературу по этой теме. ( за качество снимков извиняюсь)
Последнее редактирование: 11 года 3 мес. назад пользователем Галина.
Пожалуйста Войти или Регистрация, чтобы присоединиться к беседе.
- ДМИТРИЙ
-
- Не в сети
- Administrator
-
- Когда есть мечта, идея и решимость — возможно все!
11 года 3 мес. назад - 11 года 3 мес. назад #17307
от ДМИТРИЙ
ДМИТРИЙ ответил в теме Киста уретры
Я лично сам кисту уретры не выставлял и сомневаюсь, что ее можно выставить по УЗИ женщинам.
Последнее редактирование: 11 года 3 мес. назад пользователем ДМИТРИЙ.
Пожалуйста Войти или Регистрация, чтобы присоединиться к беседе.
- Илья
-
- Не в сети
- Живу я здесь
-
- Специалист по синхронному эхосканированию.
Меньше
Больше
- Сообщений: 3512
- Спасибо получено: 1935
11 года 3 мес. назад #17311
от Илья
Илья ответил в теме Киста уретры
А может это киста брыжейки. расположенной в полостималого таза, перитонеальная киста, воспалительная киста брюшины (при хронических заболеваниях полости малого таза)
Пожалуйста Войти или Регистрация, чтобы присоединиться к беседе.
- Мария
-
- Не в сети
- Новый участник
-
Меньше
Больше
- Сообщений: 81
- Спасибо получено: 23
11 года 3 мес. назад #17321
от Мария
Мария ответил в теме Киста уретры
Похоже на парауретральную кисту.
rushkolnik.ru/docs/299/index-1032306.html
там есть методика осмотра
rushkolnik.ru/docs/299/index-1032306.html
там есть методика осмотра
Спасибо сказали: ТАТЬЯНА, Илья, Галина
Пожалуйста Войти или Регистрация, чтобы присоединиться к беседе.
- Галина
-
Автор темы
- Не в сети
- Новый участник
-
Меньше
Больше
- Сообщений: 6
- Спасибо получено: 2
11 года 2 мес. назад #17389
от Галина
Галина ответил в теме Киста уретры
Вот еще немного нашла :,,УЗИ позволяет выявить как кисты, так и дивертикулы уретры. Однако дифференциальная диагностика этих заболеваний без визуализации устья дивертикула невозможна. Тем не менее, при обнаружении жидкостного образования, расположенного кзади от мочевого пузыря или ниже его, следует учитывать возможность наличия дивертикула уретры (Рис. 4 - многокамерный дивертикул проксимального отдела уретры с наличием соустья с просветом уретры ниже шейки мочевого пузыря)
Спасибо сказали: Илья
Пожалуйста Войти или Регистрация, чтобы присоединиться к беседе.
Дни рождения
- В ближайшее время дней рождения участников - нет

