Вы не авторизованы.
Матка. Повторение понятий..
- Илья
-
Автор темы
- Не в сети
- Живу я здесь
-
- Специалист по синхронному эхосканированию.
Меньше
Больше
- Сообщений: 3512
- Спасибо получено: 1935
11 года 3 мес. назад - 10 года 4 мес. назад #17312
от Илья
Илья создал тему: Матка. Повторение понятий..
Предлагаю вашему вниманию мини видео пример. Может и простой пример, но для повторения - мать учения. Что с маткой, коллеги?
Последнее редактирование: 10 года 4 мес. назад пользователем ОЛЕГ.
Спасибо сказали: Oksana, dgt
Пожалуйста Войти или Регистрация, чтобы присоединиться к беседе.
- Oksana
-
- Не в сети
- Осваиваюсь пока
-
Меньше
Больше
- Сообщений: 141
- Спасибо получено: 51
11 года 3 мес. назад #17315
от Oksana
Oksana ответил в теме Матка. Повторение понятий..
Двурогая матка.
Пожалуйста Войти или Регистрация, чтобы присоединиться к беседе.
- Илья
-
Автор темы
- Не в сети
- Живу я здесь
-
- Специалист по синхронному эхосканированию.
Меньше
Больше
- Сообщений: 3512
- Спасибо получено: 1935
11 года 3 мес. назад #17318
от Илья
Пожалуйста Войти или Регистрация, чтобы присоединиться к беседе.
- Oksana
-
- Не в сети
- Осваиваюсь пока
-
Меньше
Больше
- Сообщений: 141
- Спасибо получено: 51
11 года 3 мес. назад #17322
от Oksana
Oksana ответил в теме Матка. Повторение понятий..
Полное разделение.
Пожалуйста Войти или Регистрация, чтобы присоединиться к беседе.
- Илья
-
Автор темы
- Не в сети
- Живу я здесь
-
- Специалист по синхронному эхосканированию.
Меньше
Больше
- Сообщений: 3512
- Спасибо получено: 1935
11 года 3 мес. назад #17323
от Илья
Илья ответил в теме Матка. Повторение понятий..
Случайно было обнаружено при обычном УЗИ осмотре у девушки подростка.Хотя вопрос стоял и о седловидной матке
Пожалуйста Войти или Регистрация, чтобы присоединиться к беседе.
- Светлана Петровна
-
- Не в сети
- Давно я тут
-
Меньше
Больше
- Сообщений: 737
- Спасибо получено: 165
11 года 3 мес. назад - 11 года 3 мес. назад #17328
от Светлана Петровна
Светлана Петровна ответил в теме Матка. Повторение понятий..
Форма седловидной,но полное разделение эндометрия.
Последнее редактирование: 11 года 3 мес. назад пользователем Светлана Петровна.
Пожалуйста Войти или Регистрация, чтобы присоединиться к беседе.
- Наташа
-
- Не в сети
- Живу я здесь
-
Меньше
Больше
- Сообщений: 1899
- Спасибо получено: 1497
10 года 4 мес. назад #35455
от Наташа
Наташа ответил в теме Матка. Повторение понятий..
В продолжении темы.
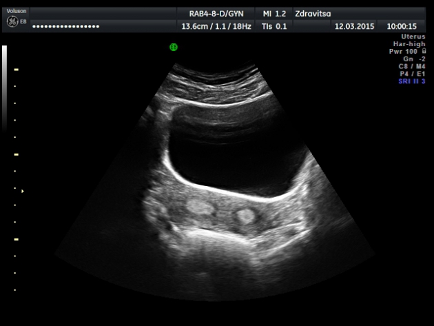
Случай №1. Молодая девушка обратилась для проведения УЗИ почек, при проведении которого обнаружено полное удвоение левой почки. Заглянула в малый таз, увидела следующее:
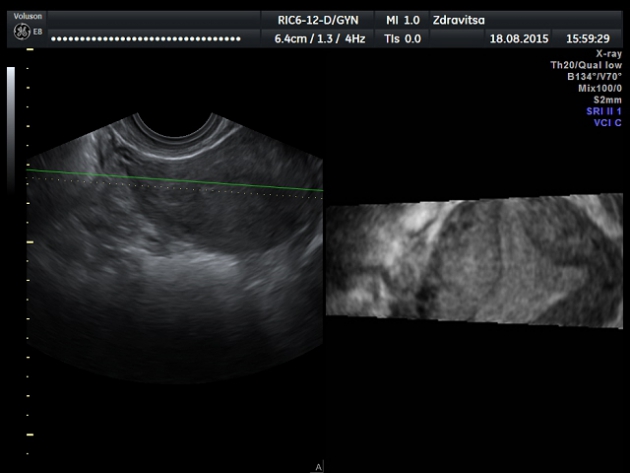
Случай №2. Девушка 22 лет, жалобы на НОМЦ по типу альгоменореи в течении последних трех месяцев.1-я фаза цикла.
Хотелось бы увидеть варианты уз-заключений.
Случай №1. Молодая девушка обратилась для проведения УЗИ почек, при проведении которого обнаружено полное удвоение левой почки. Заглянула в малый таз, увидела следующее:
Случай №2. Девушка 22 лет, жалобы на НОМЦ по типу альгоменореи в течении последних трех месяцев.1-я фаза цикла.
Хотелось бы увидеть варианты уз-заключений.
Спасибо сказали: Геннадьевич
Пожалуйста Войти или Регистрация, чтобы присоединиться к беседе.
- Геннадьевич
-
- Не в сети
- Живу я здесь
-
Меньше
Больше
- Сообщений: 2346
- Спасибо получено: 1347
10 года 4 мес. назад #35457
от Геннадьевич
Пожалуйста Войти или Регистрация, чтобы присоединиться к беседе.
- татьяна
-
- Не в сети
- Новый участник
-
Меньше
Больше
- Сообщений: 23
- Спасибо получено: 1
10 года 4 мес. назад #35490
от татьяна
татьяна ответил в теме Матка. Повторение понятий..
двурогая,седловидная матка надо посмотреть шейку может и полное удвоение
Пожалуйста Войти или Регистрация, чтобы присоединиться к беседе.
- Илья
-
Автор темы
- Не в сети
- Живу я здесь
-
- Специалист по синхронному эхосканированию.
Меньше
Больше
- Сообщений: 3512
- Спасибо получено: 1935
10 года 4 мес. назад #35510
от Илья
Илья ответил в теме Матка. Повторение понятий..
1. Двурогая.
2. Седловидная
Пожалуйста Войти или Регистрация, чтобы присоединиться к беседе.
Дни рождения
- В ближайшее время дней рождения участников - нет

