Вы не авторизованы.
Петли кишечника?
- Мария
-
Автор темы
- Не в сети
- Новый участник
-
Меньше
Больше
- Сообщений: 25
- Спасибо получено: 3
8 года 4 мес. назад #60056
от Мария
Мария создал тему: Петли кишечника?
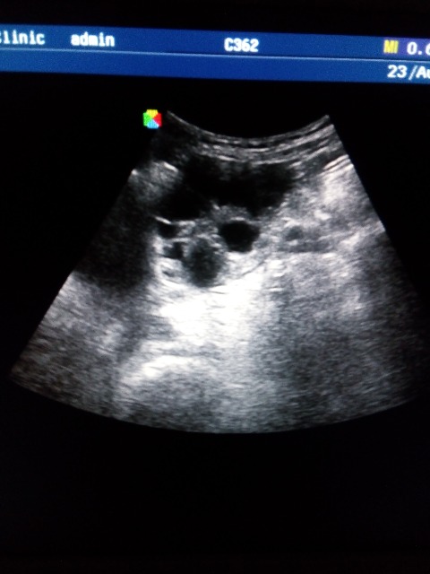
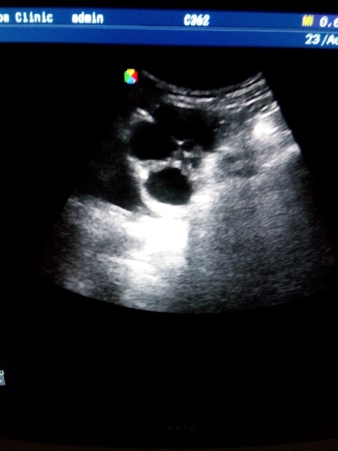
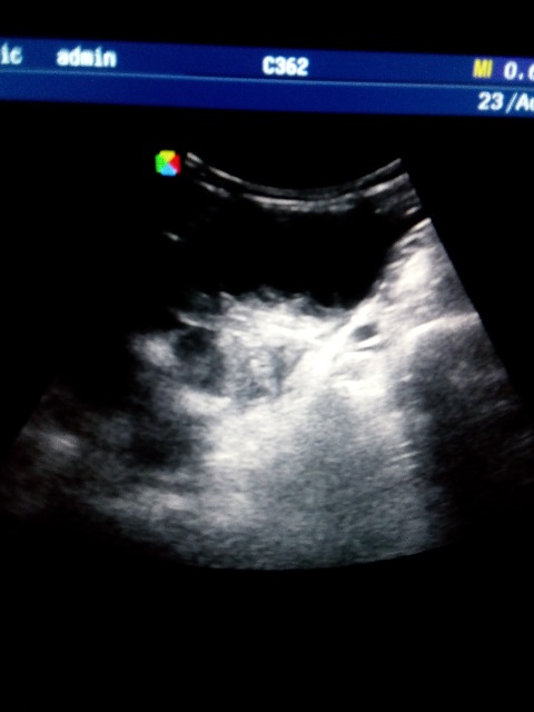
Подскажите что это может быть, лоцируется на уровне дна матки, справа и слева, больше слева, у женщины c-r шейки матки, проходит обследование брюшной полости перед лечением в онкодиспансере, недавно делали УЗИ малого таза, без патологии, никаких образований, кист не находили, жалоб нет. Думаю расширенные петли кишечника, заполненные жидким содержимым, перистальтики не увидела, если это они то какая может быть причина, и как то нужно это в протоколе и заключении отразить?
Пожалуйста Войти или Регистрация, чтобы присоединиться к беседе.
- Мария
-
Автор темы
- Не в сети
- Новый участник
-
Меньше
Больше
- Сообщений: 25
- Спасибо получено: 3
8 года 4 мес. назад #60058
от Мария
Мария ответил в теме Петли кишечника?
Или это только при кишечной непроходимости такая картина?
Пожалуйста Войти или Регистрация, чтобы присоединиться к беседе.
- Илья
-
- Не в сети
- Живу я здесь
-
- Специалист по синхронному эхосканированию.
Меньше
Больше
- Сообщений: 3512
- Спасибо получено: 1935
8 года 4 мес. назад #60059
от Илья
Илья ответил в теме Петли кишечника?
По фото можно подумать и про яичники и по некоторым фото про петли. Нужно видео!
Пожалуйста Войти или Регистрация, чтобы присоединиться к беседе.
- ОЛЕГ
-
- Не в сети
- Moderator
-
Меньше
Больше
- Сообщений: 3238
- Спасибо получено: 2511
- Мария
-
Автор темы
- Не в сети
- Новый участник
-
Меньше
Больше
- Сообщений: 25
- Спасибо получено: 3
8 года 4 мес. назад #60062
от Мария
Мария ответил в теме Петли кишечника?
Форма вытянутая, общей капсулы нет и с двух сторон, наверное кишечник, просто я его таким не видела еще.. ну а если абстрагироваться от этого случая, то что вообще писать в заключении в случае расширенных и заполненных жидкостью петель, если больной амбулаторный планово пришел? какие рекомендации?
Пожалуйста Войти или Регистрация, чтобы присоединиться к беседе.
- ОЛЕГ
-
- Не в сети
- Moderator
-
Меньше
Больше
- Сообщений: 3238
- Спасибо получено: 2511
8 года 4 мес. назад #60063
от ОЛЕГ
ОЛЕГ ответил в теме Петли кишечника?
пересмотреть малый таз на УЗИ (возможно у другого доктора)какие рекомендации?
Пожалуйста Войти или Регистрация, чтобы присоединиться к беседе.
- Мария
-
Автор темы
- Не в сети
- Новый участник
-
Меньше
Больше
- Сообщений: 25
- Спасибо получено: 3
8 года 4 мес. назад #60064
от Мария
Мария ответил в теме Петли кишечника?
Завтра еще раз посмотрю
Пожалуйста Войти или Регистрация, чтобы присоединиться к беседе.
- Нонна
-
- Не в сети
- Живу я здесь
-
Меньше
Больше
- Сообщений: 1734
- Спасибо получено: 1059
8 года 4 мес. назад #60069
от Нонна
Нонна ответил в теме Петли кишечника?
Мария, побольше информации по пациентке - какое было лечение, и если получится видео, конечно.
еще может быть вот это - смотрим снимок 3 в статье
www.spandidos-publications.com/ijo/46/2/445
по дифдиагнозу
www.radiologyassistant.nl/en/p4a6c7bba1ef26
Дальше ваша работа ... Удачи!
еще может быть вот это - смотрим снимок 3 в статье
www.spandidos-publications.com/ijo/46/2/445
по дифдиагнозу
www.radiologyassistant.nl/en/p4a6c7bba1ef26
Дальше ваша работа ... Удачи!
Пожалуйста Войти или Регистрация, чтобы присоединиться к беседе.
- Мария
-
Автор темы
- Не в сети
- Новый участник
-
Меньше
Больше
- Сообщений: 25
- Спасибо получено: 3
8 года 4 мес. назад #60071
от Мария
Мария ответил в теме Петли кишечника?
Лечение еще только предстоит ей, если подойдет, пересмотрю, с учетом новой информации, спасибо!)
Пожалуйста Войти или Регистрация, чтобы присоединиться к беседе.
- Илья
-
- Не в сети
- Живу я здесь
-
- Специалист по синхронному эхосканированию.
Меньше
Больше
- Сообщений: 3512
- Спасибо получено: 1935
Дни рождения
- В ближайшее время дней рождения участников - нет

