Вы не авторизованы.
Выбор линейного датчика
- ЭДУАРД
-
Автор темы
- Не в сети
- Давно я тут
-
4 года 2 нед. назад - 4 года 2 нед. назад #69651
от ЭДУАРД
_____________________________
Улыбайтесь чаще! www.шагинян.рф
ЭДУАРД создал тему: Выбор линейного датчика
Philips Epiq 7.
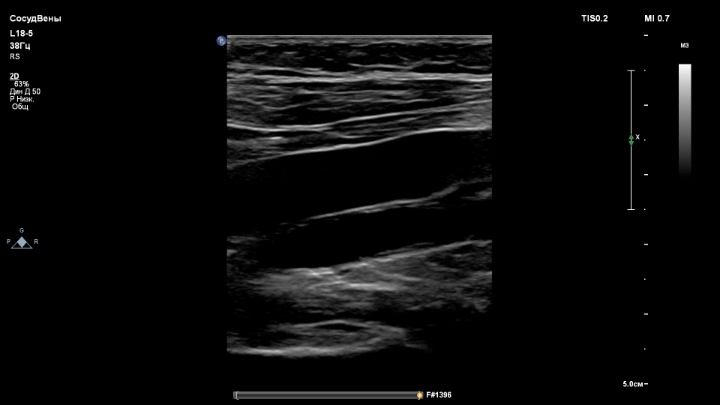
Подколенная вена без тромба, один пациент, три линейных датчика.
Коллеги, по изображениям ниже можно сказать, какой датчик лучше для сосудов?
Или сохранённые снимки не передают разницы, а она видна только на мониторе сканера?
.
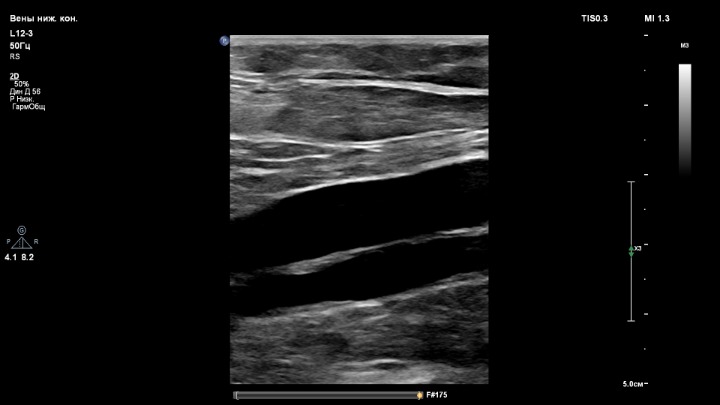
1. Датчик L12-3
.
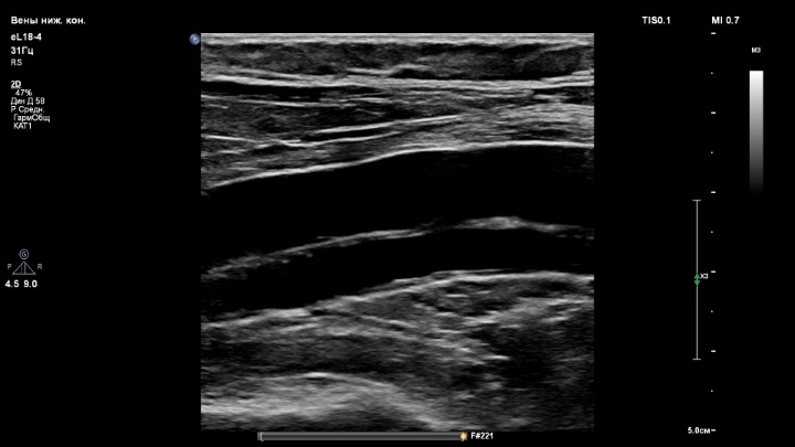
2. Датчик eL18-4
.
3. Датчик L18-5
Подколенная вена без тромба, один пациент, три линейных датчика.
Коллеги, по изображениям ниже можно сказать, какой датчик лучше для сосудов?
Или сохранённые снимки не передают разницы, а она видна только на мониторе сканера?
.
1. Датчик L12-3
.
2. Датчик eL18-4
.
3. Датчик L18-5
_____________________________
Улыбайтесь чаще! www.шагинян.рф
Вложения:
Последнее редактирование: 4 года 2 нед. назад пользователем ЭДУАРД.
Пожалуйста Войти или Регистрация, чтобы присоединиться к беседе.
- Тимофей
-
- Не в сети
- Давно я тут
-
Меньше
Больше
- Сообщений: 707
- Спасибо получено: 298
4 года 2 нед. назад #69652
от Тимофей
Тимофей ответил в теме Выбор линейного датчика
Сложно судить, ведь настройки В-режима в каждом скрине разные
Пожалуйста Войти или Регистрация, чтобы присоединиться к беседе.
- Тимофей
-
- Не в сети
- Давно я тут
-
Меньше
Больше
- Сообщений: 707
- Спасибо получено: 298
4 года 2 нед. назад #69653
от Тимофей
Тимофей ответил в теме Выбор линейного датчика
Спасибо сказали: ЭДУАРД
Пожалуйста Войти или Регистрация, чтобы присоединиться к беседе.
- ЭДУАРД
-
Автор темы
- Не в сети
- Давно я тут
-
4 года 2 нед. назад - 4 года 2 нед. назад #69654
от ЭДУАРД
- вены нижних конечностей для датчиков L12-3 и eL18-4;
- вены для датчика L18-5.
Глубина сканирования одинаковая, 5 см.
_____________________________
Улыбайтесь чаще! www.шагинян.рф
ЭДУАРД ответил в теме Выбор линейного датчика
Выбирал предустановленные настройки путём нажатия пресета:Сложно судить, ведь настройки В-режима в каждом скрине разные
- вены нижних конечностей для датчиков L12-3 и eL18-4;
- вены для датчика L18-5.
Глубина сканирования одинаковая, 5 см.
_____________________________
Улыбайтесь чаще! www.шагинян.рф
Последнее редактирование: 4 года 2 нед. назад пользователем ЭДУАРД.
Пожалуйста Войти или Регистрация, чтобы присоединиться к беседе.
- ЭДУАРД
-
Автор темы
- Не в сети
- Давно я тут
-
4 года 2 нед. назад - 4 года 2 нед. назад #69655
от ЭДУАРД
_____________________________
Улыбайтесь чаще! www.шагинян.рф
ЭДУАРД ответил в теме Выбор линейного датчика
Посмотрел на опубликованные изображения из разных кабинетов. Разные мониторы по-разному представляют на экране один и тот же файл изображения. Получается, что вам трудно дать правильную оценку.
Поделюсь своими впечатлениями.
Если покупать один линейный датчик, то тогда это eL18-4.
Очень мне понравился. Он прекрасно работает и на низких частотах с достойной картинкой сосудов, и на высоких частотах (щитовидная, молочные железы, мягкие ткани). У аппарата 4 активных порта, 4 датчика - ничего не надо переставлять. Это очень удобно. И тут датчик eL18-4 выполняет свою работу на 100%.
Если есть возможность взять два датчика,
тогда это eL18-4 + L12-3.
Во-первых, датчик L12-3 всё же лучше для сосудов (вены и артерии конечностей, БЦА). Когда сравниваешь на одном пациенте, есть разница. Датчик L12-3 с более ясной картинкой. Если увеличить Gain на датчике eL18-4, пойдут помехи.
Во-вторых длина апертуры у eL18-4 - 5 см, у L12-3 - 4 см (или 3,8 см). Даже взять УЗИ щитовидной железы - короткая шея - возьми датчик меньшей длины, если щитовидная железа увеличена, тогда датчик с апертурой 5 см + режим сканирования "трапеция" позволяет в большинстве случаев поместить длину доли на экране.
Ну если аппарат не поддерживает датчик eL18-4, тогда нужен комплект L12-3 + L18-5.
Поделюсь своими впечатлениями.
Если покупать один линейный датчик, то тогда это eL18-4.
Очень мне понравился. Он прекрасно работает и на низких частотах с достойной картинкой сосудов, и на высоких частотах (щитовидная, молочные железы, мягкие ткани). У аппарата 4 активных порта, 4 датчика - ничего не надо переставлять. Это очень удобно. И тут датчик eL18-4 выполняет свою работу на 100%.
Если есть возможность взять два датчика,
тогда это eL18-4 + L12-3.
Во-первых, датчик L12-3 всё же лучше для сосудов (вены и артерии конечностей, БЦА). Когда сравниваешь на одном пациенте, есть разница. Датчик L12-3 с более ясной картинкой. Если увеличить Gain на датчике eL18-4, пойдут помехи.
Во-вторых длина апертуры у eL18-4 - 5 см, у L12-3 - 4 см (или 3,8 см). Даже взять УЗИ щитовидной железы - короткая шея - возьми датчик меньшей длины, если щитовидная железа увеличена, тогда датчик с апертурой 5 см + режим сканирования "трапеция" позволяет в большинстве случаев поместить длину доли на экране.
Ну если аппарат не поддерживает датчик eL18-4, тогда нужен комплект L12-3 + L18-5.
_____________________________
Улыбайтесь чаще! www.шагинян.рф
Последнее редактирование: 4 года 2 нед. назад пользователем ЭДУАРД.
Спасибо сказали: ДМИТРИЙ, Тимофей
Пожалуйста Войти или Регистрация, чтобы присоединиться к беседе.
- ЭДУАРД
-
Автор темы
- Не в сети
- Давно я тут
-
4 года 2 нед. назад #69656
от ЭДУАРД
_____________________________
Улыбайтесь чаще! www.шагинян.рф
ЭДУАРД ответил в теме Выбор линейного датчика
_____________________________
Улыбайтесь чаще! www.шагинян.рф
Вложения:
Пожалуйста Войти или Регистрация, чтобы присоединиться к беседе.
- Lakhi
-
- Не в сети
- Осваиваюсь пока
-
Меньше
Больше
- Сообщений: 197
- Спасибо получено: 23
4 года 2 нед. назад #69658
от Lakhi
Я не волшебник, я только учусь (с)
Юлия
Lakhi ответил в теме Выбор линейного датчика
По картинке больше всего понравился eL 18-4, оба случая. Но на вкус и цвет, как говорится)
Я не волшебник, я только учусь (с)
Юлия
Спасибо сказали: ДМИТРИЙ, ЭДУАРД
Пожалуйста Войти или Регистрация, чтобы присоединиться к беседе.
- ЭДУАРД
-
Автор темы
- Не в сети
- Давно я тут
-
4 года 2 нед. назад - 4 года 2 нед. назад #69659
от ЭДУАРД
_____________________________
Улыбайтесь чаще! www.шагинян.рф
ЭДУАРД ответил в теме Выбор линейного датчика
У Вас хороший вкус .По картинке больше всего понравился eL 18-4, оба случая. Но на вкус и цвет, как говорится)
_____________________________
Улыбайтесь чаще! www.шагинян.рф
Последнее редактирование: 4 года 2 нед. назад пользователем ЭДУАРД.
Пожалуйста Войти или Регистрация, чтобы присоединиться к беседе.
- ЭДУАРД
-
Автор темы
- Не в сети
- Давно я тут
-
4 года 2 нед. назад #69660
от ЭДУАРД
_____________________________
Улыбайтесь чаще! www.шагинян.рф
ЭДУАРД ответил в теме Выбор линейного датчика
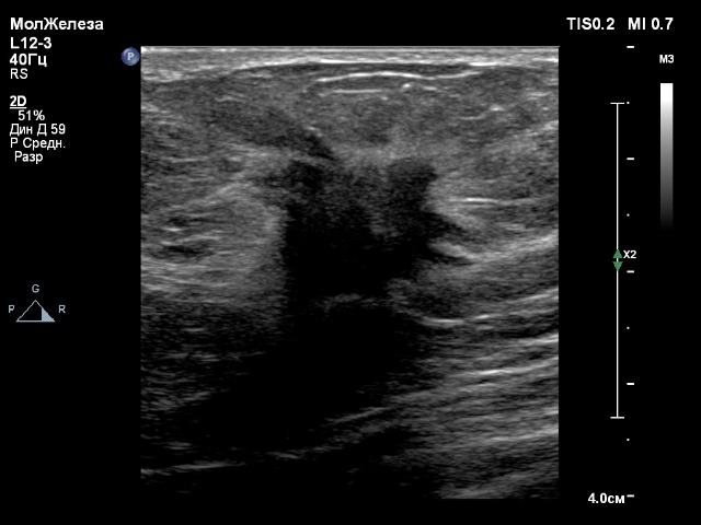
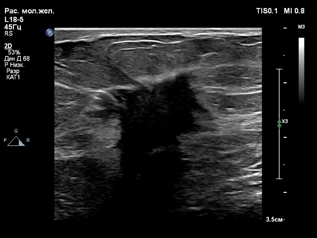
Компрессионная эластография данного образования молочной железы на датчике eL18-4 получилась быстро и качественно, а на датчике L18-5 хуже получалась, индикатор качества не поднимался до верха, что указывало бы на высокое качество эластограммы, которую можно оценивать. На датчике eL18-4 можно сказать влёт.
_____________________________
Улыбайтесь чаще! www.шагинян.рф
Вложения:
Пожалуйста Войти или Регистрация, чтобы присоединиться к беседе.
- ЭДУАРД
-
Автор темы
- Не в сети
- Давно я тут
-
4 года 2 нед. назад #69661
от ЭДУАРД
_____________________________
Улыбайтесь чаще! www.шагинян.рф
ЭДУАРД ответил в теме Выбор линейного датчика
Когда работаю на аппарате с одной линейкой eL18-4, то доволен и картинкой вен нижних конечностей.
Но при работе на аппарате с 3-мя линейками, сравнивая их, я всё же для вен беру датчик L12-3.
Вот такой небольшой обзор получился.
Но при работе на аппарате с 3-мя линейками, сравнивая их, я всё же для вен беру датчик L12-3.
Вот такой небольшой обзор получился.
_____________________________
Улыбайтесь чаще! www.шагинян.рф
Пожалуйста Войти или Регистрация, чтобы присоединиться к беседе.
- ДМИТРИЙ
-
- Не в сети
- Administrator
-
- Когда есть мечта, идея и решимость — возможно все!
4 года 2 нед. назад #69662
от ДМИТРИЙ
Случаи красивые, но как показывает практика, все зависит от мастерства оператора!
ДМИТРИЙ ответил в теме Выбор линейного датчика
Взлет не на датчике, а на эмоциях!Компрессионная эластография данного образования молочной железы на датчике eL18-4 получилась быстро и качественно, а на датчике L18-5 хуже получалась, индикатор качества не поднимался до верха, что указывало бы на высокое качество эластограммы, которую можно оценивать. На датчике eL18-4 можно сказать влёт.
Случаи красивые, но как показывает практика, все зависит от мастерства оператора!
Спасибо сказали: ЭДУАРД
Пожалуйста Войти или Регистрация, чтобы присоединиться к беседе.
Дни рождения
- В ближайшее время дней рождения участников - нет

