Что в ПЖК ягодицы?
- Юниор
-
Автор темы
- Не в сети
- Новый участник
-
Меньше
Больше
- Сообщений: 5
- Спасибо получено: 0
3 года 8 мес. назад - 3 года 8 мес. назад #69862
от Юниор
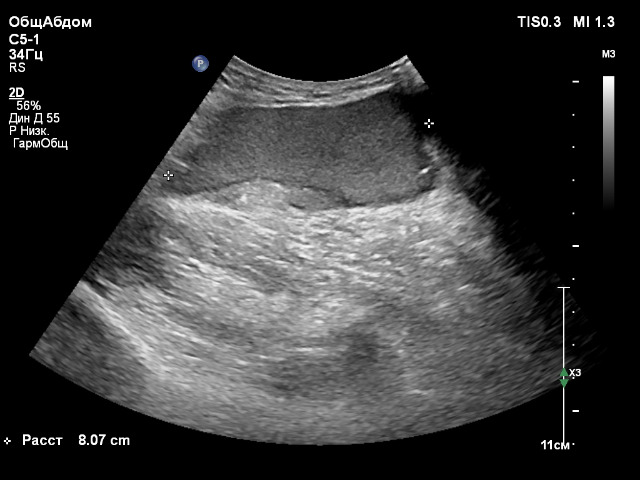
Мужчина, 61 год, пришел с "шишкой" в ягодице. Ощущает ее достаточно давно, говорит, что, возможно, появилась после инъекции. Расположена в ПЖК, четкие выраженно неровные контуры, дает "отроги" в виде пальцев, с такими же четкими контурами, в окружающий жир. Образование полностью аваскулярное, гипоэхогенное за исключением гиперэхогенного участка у одного из краев, ок. 30х15 мм, с нечеткими контурами, неправильной формы, тоже сравнительно однородного и аваскулярного. Посоветуйте, что может быть?
Юниор создал тему: Что в ПЖК ягодицы?
Мужчина, 61 год, пришел с "шишкой" в ягодице. Ощущает ее достаточно давно, говорит, что, возможно, появилась после инъекции. Расположена в ПЖК, четкие выраженно неровные контуры, дает "отроги" в виде пальцев, с такими же четкими контурами, в окружающий жир. Образование полностью аваскулярное, гипоэхогенное за исключением гиперэхогенного участка у одного из краев, ок. 30х15 мм, с нечеткими контурами, неправильной формы, тоже сравнительно однородного и аваскулярного. Посоветуйте, что может быть?
Вложения:
Последнее редактирование: 3 года 8 мес. назад пользователем Юниор.
Пожалуйста Войти или Регистрация, чтобы присоединиться к беседе.
- Тимофей
-
- Не в сети
- Давно я тут
-
Меньше
Больше
- Сообщений: 707
- Спасибо получено: 298
3 года 8 мес. назад #69863
от Тимофей
Тимофей ответил в теме Что в ПЖК ягодицы?
Наиболее вероятно- жидкостное образование ( абсцесс?). Отправляйте с описательной частью к хирургам.
Пожалуйста Войти или Регистрация, чтобы присоединиться к беседе.
- Uzgraph
-
- Не в сети
- Давно я тут
-
3 года 8 мес. назад #69866
от Uzgraph
Uzgraph ответил в теме Что в ПЖК ягодицы?
Наиболее вероятно- жидкостное образование ( абсцесс?). Отправляйте с описательной частью к хирургам.
Пожалуйста Войти или Регистрация, чтобы присоединиться к беседе.
- ДМИТРИЙ
-
- Не в сети
- Administrator
-
- Когда есть мечта, идея и решимость — возможно все!
3 года 8 мес. назад #69868
от ДМИТРИЙ
ДМИТРИЙ ответил в теме Что в ПЖК ягодицы?
Наиболее вероятно- жидкостное образование ( абсцесс?). Отправляйте с описательной частью к хирургам.
Пожалуйста Войти или Регистрация, чтобы присоединиться к беседе.
Дни рождения
- Ирина 1 день
- uzidoc 2 дн.
- Светлана 2 дн.
- борис 3 дн.
- Борис 3 дн.
- Emil 4 дн.
- Виктор 5 дн.
- alisa 7 дн.
- валентина 11 дн.
- Shafiqa 14 дн.
- Валик 15 дн.
- Людмила 21 дн.
- Альбина 23 дн.
- Анастасия 23 дн.
- хомутов сергей владимирович 23 дн.
- ДМИТРИЙ 24 дн.

