опухоль мочеточника
- Таир
-
Автор темы
- Не в сети
- Захожу иногда
-
7 года 1 нед. назад - 6 года 11 мес. назад #65830
от Таир
-Ваше политическое кредо?
-Всегда!(c)
Таир создал тему: опухоль мочеточника
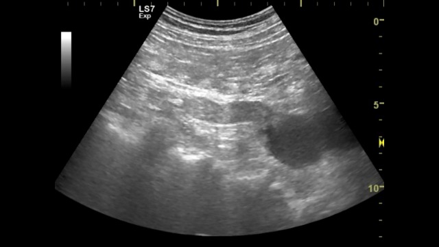
Пациент перенес несколько лет назад операцию по поводу рака толстой кишки.
-Ваше политическое кредо?
-Всегда!(c)
Последнее редактирование: 6 года 11 мес. назад пользователем ДМИТРИЙ.
Спасибо сказали: ЭДУАРД, Нонна, Марина_Константинова, Сидрат, Алан Валерьевич, Тимофей, Амелька
Пожалуйста Войти или Регистрация, чтобы присоединиться к беседе.
- Алан Валерьевич
-
- Не в сети
- Давно я тут
-
Меньше
Больше
- Сообщений: 769
- Спасибо получено: 280
7 года 3 дн. назад #65839
от Алан Валерьевич
Алан Валерьевич ответил в теме опухоль мочеточника
Таир, наверно стоит переименовать ролик. Почему опухоль мочеточника? Скорее это сдавление мочеточника извне, предположительно регионарным метастазом.
Пожалуйста Войти или Регистрация, чтобы присоединиться к беседе.
- Анна
-
- Не в сети
- Завсегдатай
-
Меньше
Больше
- Сообщений: 1084
- Спасибо получено: 1687
7 года 1 день назад #65845
от Анна
Анна ответил в теме опухоль мочеточника
Если я правильно поняла, мочеточник на протяжении заполнен гипоэхогенной солидной структурой, а кровоток при ЦДК интересно есть? именно заполнен, а не сдавлен... верно?
Пожалуйста Войти или Регистрация, чтобы присоединиться к беседе.
- Алан Валерьевич
-
- Не в сети
- Давно я тут
-
Меньше
Больше
- Сообщений: 769
- Спасибо получено: 280
7 года 1 день назад #65852
от Алан Валерьевич
Алан Валерьевич ответил в теме опухоль мочеточника
Мочеточник заполнен мочой на всем протяжении. В области интрамурального отдела (прилежит к стенке мочевого пузыря) какое то образование сдавливающее просвет мочеточника. Видно очень плохо.
Пожалуйста Войти или Регистрация, чтобы присоединиться к беседе.
- Таир
-
Автор темы
- Не в сети
- Захожу иногда
-
7 года 1 день назад #65854
от Таир
Изображение сжимается на ютубе. Я обозначил на фото области поражения. Не затронут средний отдел. Из дистального и проксимального отделов навстречу идут два очага. При цистоскопии из устья видно образование.
-Ваше политическое кредо?
-Всегда!(c)
Таир ответил в теме опухоль мочеточника
Мочеточник заполнен мочой на всем протяжении. В области интрамурального отдела (прилежит к стенке мочевого пузыря) какое то образование сдавливающее просвет мочеточника. Видно очень плохо.
Изображение сжимается на ютубе. Я обозначил на фото области поражения. Не затронут средний отдел. Из дистального и проксимального отделов навстречу идут два очага. При цистоскопии из устья видно образование.
-Ваше политическое кредо?
-Всегда!(c)
Спасибо сказали: Илья, Амелька
Пожалуйста Войти или Регистрация, чтобы присоединиться к беседе.
- Таир
-
Автор темы
- Не в сети
- Захожу иногда
-
7 года 1 день назад #65855
от Таир
-Ваше политическое кредо?
-Всегда!(c)
Таир ответил в теме опухоль мочеточника
видно как опухоль распространяется в лоханку
-Ваше политическое кредо?
-Всегда!(c)
Спасибо сказали: Амелька
Пожалуйста Войти или Регистрация, чтобы присоединиться к беседе.
- ДМИТРИЙ
-
- Не в сети
- Administrator
-
- Когда есть мечта, идея и решимость — возможно все!
6 года 11 мес. назад #65880
от ДМИТРИЙ
ДМИТРИЙ ответил в теме опухоль мочеточника
Таир, случай интересный, только представлять нужно лучше! Пришлось ваши ролик сделать по ширше! 
Как разместить видео ролик на форуме!!!!
Как разместить видео ролик на форуме!!!!
Пожалуйста Войти или Регистрация, чтобы присоединиться к беседе.
- Таир
-
Автор темы
- Не в сети
- Захожу иногда
-
6 года 11 мес. назад #65884
от Таир
-Ваше политическое кредо?
-Всегда!(c)
Таир ответил в теме опухоль мочеточника
Дмитрий, роликов много, только вот их редактировать у меня, честно сказать, терпения не хватает.Таир, случай интересный, только представлять нужно лучше! Пришлось ваши ролик сделать по ширше!
Как разместить видео ролик на форуме!!!!
-Ваше политическое кредо?
-Всегда!(c)
Пожалуйста Войти или Регистрация, чтобы присоединиться к беседе.
- Тимофей
-
- Не в сети
- Давно я тут
-
Меньше
Больше
- Сообщений: 707
- Спасибо получено: 298
6 года 11 мес. назад #65901
от Тимофей
Тимофей ответил в теме опухоль мочеточника
Интересный случай, на ролике при первом просмотре в просвете ничего не увидел, посчитал гипоэхогенность артефактом усиления.
Пожалуйста Войти или Регистрация, чтобы присоединиться к беседе.
Дни рождения
- Ирина 1 день
- uzidoc 2 дн.
- Светлана 2 дн.
- борис 3 дн.
- Борис 3 дн.
- Emil 4 дн.
- Виктор 5 дн.
- alisa 7 дн.
- валентина 11 дн.
- Shafiqa 14 дн.
- Валик 15 дн.
- Людмила 21 дн.
- Альбина 23 дн.
- Анастасия 23 дн.
- хомутов сергей владимирович 23 дн.
- ДМИТРИЙ 24 дн.

