Вы не авторизованы.
Артефакты и термины в УЗИ
- Серёга Антошин
-
Автор темы
- Не в сети
- Живу я здесь
-
- Не усложняй - когда все просто...
- Сообщений: 5848
- Спасибо получено: 1110
Согласен! Артефакт в данном случае - не помощник
Все таки для определения жидкостного образования достаточно В-режима
А вот и не всегда.
Да? можете пример привести?
Репутация многих клиницистов, похоронена в забрюшинном пространстве (с) Черкес и соавторы
Пожалуйста Войти или Регистрация, чтобы присоединиться к беседе.
- Михаил
-
- Не в сети
- Живу я здесь
-
- Сообщений: 2490
- Спасибо получено: 1253
Пожалуйста Войти или Регистрация, чтобы присоединиться к беседе.
- ОЛЕГ
-
- Не в сети
- Moderator
-
- Сообщений: 3238
- Спасибо получено: 2511
Что поиграем в слова? Понятно что данный артефакт возникает при ЦДК, а не при серошкальном режиме! И на этом принципе основано было появление эластографии.Помогает не артефакт,а ЦДК. Улавливаете разницу? Установите низкий фильтр и у вас всю кисту цветом зальёт
Пожалуйста Войти или Регистрация, чтобы присоединиться к беседе.
- ОЛЕГ
-
- Не в сети
- Moderator
-
- Сообщений: 3238
- Спасибо получено: 2511
Согласен с Дмитрием!
Согласен! Артефакт в данном случае - не помощник
Но и не помеха.
Этот артефакт показывает что в жидкостном образовании есть движение частиц.
Если бы их там не было бы и они там не двигались, не было бы этого артефакта, выставляете хот на 3 см/сек. допплер бы не среагировал, а залить можно все что хотите.
Т.Ч фильтры выставлены правильно!
Все таки для определения жидкостного образования достаточно В-режима
А вот и не всегда.
Пожалуйста Войти или Регистрация, чтобы присоединиться к беседе.
- Михаил
-
- Не в сети
- Живу я здесь
-
- Сообщений: 2490
- Спасибо получено: 1253
Причём здесь игра в слова???!!! Есть режим ЦДК,а есть артефакты которые он вызывает
Что поиграем в слова? Понятно что данный артефакт возникает при ЦДК, а не при серошкальном режиме! И на этом принципе основано было появление эластографии.Помогает не артефакт,а ЦДК. Улавливаете разницу? Установите низкий фильтр и у вас всю кисту цветом зальёт
Пожалуйста Войти или Регистрация, чтобы присоединиться к беседе.
- Серёга Антошин
-
Автор темы
- Не в сети
- Живу я здесь
-
- Не усложняй - когда все просто...
- Сообщений: 5848
- Спасибо получено: 1110
Репутация многих клиницистов, похоронена в забрюшинном пространстве (с) Черкес и соавторы
Пожалуйста Войти или Регистрация, чтобы присоединиться к беседе.
- ОЛЕГ
-
- Не в сети
- Moderator
-
- Сообщений: 3238
- Спасибо получено: 2511
На практике сам убедись!Пример в штудию!
Пожалуйста Войти или Регистрация, чтобы присоединиться к беседе.
- Серёга Антошин
-
Автор темы
- Не в сети
- Живу я здесь
-
- Не усложняй - когда все просто...
- Сообщений: 5848
- Спасибо получено: 1110
Репутация многих клиницистов, похоронена в забрюшинном пространстве (с) Черкес и соавторы
Пожалуйста Войти или Регистрация, чтобы присоединиться к беседе.
- ОЛЕГ
-
- Не в сети
- Moderator
-
- Сообщений: 3238
- Спасибо получено: 2511
Пусть будет солидным!Так я ж из своей практики и говорю всегда! Олег и все таки корректней называть образование солидным, а не тканевым, как считаешь?
Пожалуйста Войти или Регистрация, чтобы присоединиться к беседе.
- Серёга Антошин
-
Автор темы
- Не в сети
- Живу я здесь
-
- Не усложняй - когда все просто...
- Сообщений: 5848
- Спасибо получено: 1110
Репутация многих клиницистов, похоронена в забрюшинном пространстве (с) Черкес и соавторы
Пожалуйста Войти или Регистрация, чтобы присоединиться к беседе.
- ДМИТРИЙ
-
- Не в сети
- Administrator
-
- Когда есть мечта, идея и решимость — возможно все!
Да? можете пример привести?
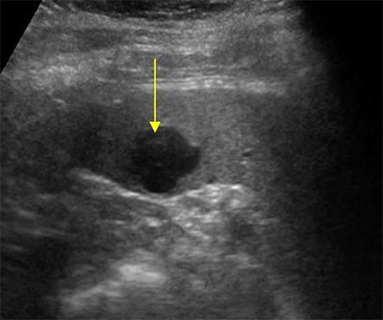
Обязательно приведу для вас пример из своей практики, как только попадется интересный случай.
А пока предлагаю вам разгадать вот такую загадку.
Как вы думаете:
1. Это жидкостное или мягко тканное образование в селезенке?
2. Нужно ли здесь для верификации образования использовать цветной допплер или нет?
Пожалуйста Войти или Регистрация, чтобы присоединиться к беседе.
- Серёга Антошин
-
Автор темы
- Не в сети
- Живу я здесь
-
- Не усложняй - когда все просто...
- Сообщений: 5848
- Спасибо получено: 1110
Репутация многих клиницистов, похоронена в забрюшинном пространстве (с) Черкес и соавторы
Пожалуйста Войти или Регистрация, чтобы присоединиться к беседе.
- ОЛЕГ
-
- Не в сети
- Moderator
-
- Сообщений: 3238
- Спасибо получено: 2511
Серёга - солидное!Хорошо, сначала напишите, что вы понимаете под словом ."мягкотканное" - на ощупь что-ли?
Пожалуйста Войти или Регистрация, чтобы присоединиться к беседе.
- ДМИТРИЙ
-
- Не в сети
- Administrator
-
- Когда есть мечта, идея и решимость — возможно все!
Хорошо, сначала напишите, что вы понимаете под словом ."мягкотканное" - на ощупь чтоли?
Только если вы объясните, что такое солидное?
Пожалуйста Войти или Регистрация, чтобы присоединиться к беседе.
- ОЛЕГ
-
- Не в сети
- Moderator
-
- Сообщений: 3238
- Спасибо получено: 2511
Да, эластография предоставляет такую возможность пощупать, и даже цветами показывает где плотнее!"мягкотканное" - на ощупь чтоли?
Пожалуйста Войти или Регистрация, чтобы присоединиться к беседе.
Дни рождения
- В ближайшее время дней рождения участников - нет

