Вы не авторизованы.
Мастопатия.
- ДМИТРИЙ
-
- Не в сети
- Administrator
-
- Когда есть мечта, идея и решимость — возможно все!
Пожалуйста Войти или Регистрация, чтобы присоединиться к беседе.
- ODG
-
- Не в сети
- Захожу иногда
-
- Сообщений: 466
- Спасибо получено: 389
Пожалуйста Войти или Регистрация, чтобы присоединиться к беседе.
- ДМИТРИЙ
-
- Не в сети
- Administrator
-
- Когда есть мечта, идея и решимость — возможно все!
Пожалуйста Войти или Регистрация, чтобы присоединиться к беседе.
- ODG
-
- Не в сети
- Захожу иногда
-
- Сообщений: 466
- Спасибо получено: 389
Пожалуйста Войти или Регистрация, чтобы присоединиться к беседе.
- ДМИТРИЙ
-
- Не в сети
- Administrator
-
- Когда есть мечта, идея и решимость — возможно все!
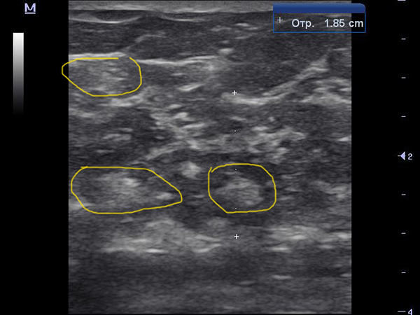
Это наверно В/Н квдрант.там обычно дольше остаются островки железистой ткани. Хотя она тут тоже по структуре с фиброзированием.
Правильно это верхне-наружный квадрант, но согласитесь железистой ткани много, фактически почти половина паеренхимы занимает жировая, а половину железистая ткань. Для женщины у которой 4 года климакс это много.
И мы в праве ей выставить железистую мастопатию!
Пожалуйста Войти или Регистрация, чтобы присоединиться к беседе.
- ODG
-
- Не в сети
- Захожу иногда
-
- Сообщений: 466
- Спасибо получено: 389
Пожалуйста Войти или Регистрация, чтобы присоединиться к беседе.
- ДМИТРИЙ
-
- Не в сети
- Administrator
-
- Когда есть мечта, идея и решимость — возможно все!
Ни каких гормонов не принимает.
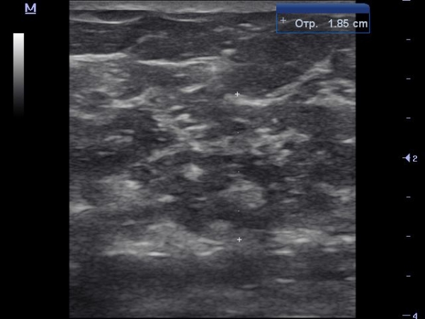
Темерь покажу какая должна быть структура железы в постменопаузальном периоде в норме, кстати кинопетля снята у этой же женщины с участка в нижне-внутреннем квадранте.
Вот пример когда паренхима железы полностью замещена жировой и фиброзной тканью, что характерно для постменопаузального типа строения молочной железы.
Что скажите?
Пожалуйста Войти или Регистрация, чтобы присоединиться к беседе.
- ODG
-
- Не в сети
- Захожу иногда
-
- Сообщений: 466
- Спасибо получено: 389
Пожалуйста Войти или Регистрация, чтобы присоединиться к беседе.
- ДМИТРИЙ
-
- Не в сети
- Administrator
-
- Когда есть мечта, идея и решимость — возможно все!
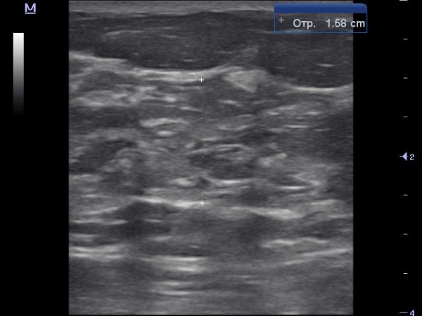
В н/н квадранте:
В н/в частично как предпоследняя согорамма и частично как на последнем видео.
У женщины с менопаузой 4 года железистой ткани быть не должно, ну может только если отдельные очаги в наружном квадранте!
Эта картина характерна для раннего предменопаузального периода.
Но не как ни постменапаузального.
Вообщем женщине выставил заключение:
Диффузная железистая мастопатия, умеренно выраженная.
А клиника соответствующая заключению - умеренные боли в железах.
Пожалуйста Войти или Регистрация, чтобы присоединиться к беседе.
- Лариса
-
- Не в сети
- Захожу иногда
-
- Сообщений: 319
- Спасибо получено: 56
Пожалуйста Войти или Регистрация, чтобы присоединиться к беседе.
- ДМИТРИЙ
-
- Не в сети
- Administrator
-
- Когда есть мечта, идея и решимость — возможно все!
То есть, если у женщины 35-37 лет такая же клиника и картина узи, то пишем возрастную норму, несмотря на увеличенную толщину паренхимы ?
Что, всем женщинам с 3 размером бюста ставить мастопатию?!
Пожалуйста Войти или Регистрация, чтобы присоединиться к беседе.
- Лариса
-
- Не в сети
- Захожу иногда
-
- Сообщений: 319
- Спасибо получено: 56
Пожалуйста Войти или Регистрация, чтобы присоединиться к беседе.
- Серёга Антошин
-
- Не в сети
- Живу я здесь
-
- Не усложняй - когда все просто...
- Сообщений: 5848
- Спасибо получено: 1110
Размер может быть и 4, за счет жировой ткани. Но в рекомендациях Т.Н. Трофимовой как раз толщина паренхимы является одним из факторов. Не люблю я эти мастопатии...
А что , большие сиськи всегда патология?
Репутация многих клиницистов, похоронена в забрюшинном пространстве (с) Черкес и соавторы
Пожалуйста Войти или Регистрация, чтобы присоединиться к беседе.
- Лариса
-
- Не в сети
- Захожу иногда
-
- Сообщений: 319
- Спасибо получено: 56
Пожалуйста Войти или Регистрация, чтобы присоединиться к беседе.
- ДМИТРИЙ
-
- Не в сети
- Administrator
-
- Когда есть мечта, идея и решимость — возможно все!
И как по вашему его измерять, как паренхиму???
Но мы же с вами видим,что паренхима может вообще не содержать железистой ткани!
Так что что то не состыковывается в этих методичках!
На счет размеров бюста.
Конечно увеличение железы может быть и за счет жирового слоя и за счет паренхимы.
Но это уже не мастопати, а гиперплазия (или истинная или ложная) молочной железы.
Пожалуйста Войти или Регистрация, чтобы присоединиться к беседе.
Дни рождения
- В ближайшее время дней рождения участников - нет

