Вы не авторизованы.
- Форум
- Форум врачей УЗД
- Ординаторская для врачей
- Рабочие вопросы
- Гидронефроз или гидронефротическая трансформация?
Гидронефроз или гидронефротическая трансформация?
- ТАТЬЯНА
-
- Не в сети
- Завсегдатай
-
- Сообщений: 1188
- Спасибо получено: 1236
Всегда из меряю полости по верхне - нижним меткам- и лоханку , и чашечки , и кисты. Тогда не бывает путаницы и ошибок.беру максимальный верхне- нижний диаметр, тогда и динамика будет правильная.Уважаемые коллеги , возник практический вопрос: как измерить расширение лоханки так, что бы при повторном осмотре другим доктором не возникла путаница в цифрах. Я рисую почку схематично и показываю стрелками как измерял. В Капустине и в другой литературе не нашел конкретных схем.
Пожалуйста Войти или Регистрация, чтобы присоединиться к беседе.
- ДМИТРИЙ
-
- Не в сети
- Administrator
-
- Когда есть мечта, идея и решимость — возможно все!
Да и главное, при гидронефрозе не только атрофия паренхимы, но и увеличение размеров почки должно быть!
Кто вам такое сказал?
Увеличение почки может быть и то только в терминальной стадии.
Пожалуйста Войти или Регистрация, чтобы присоединиться к беседе.
- Серёга Антошин
-
- Не в сети
- Живу я здесь
-
- Не усложняй - когда все просто...
- Сообщений: 5848
- Спасибо получено: 1110
Репутация многих клиницистов, похоронена в забрюшинном пространстве (с) Черкес и соавторы
Пожалуйста Войти или Регистрация, чтобы присоединиться к беседе.
- Илья
-
Автор темы
- Не в сети
- Живу я здесь
-
- Специалист по синхронному эхосканированию.
- Сообщений: 3512
- Спасибо получено: 1935
Сколько УЗИсто, столько и артефактов.
Пожалуйста Войти или Регистрация, чтобы присоединиться к беседе.
- ОЛЕГ
-
- Не в сети
- Moderator
-
- Сообщений: 3238
- Спасибо получено: 2511
Ничего себе вывод, или сравнение?Сколько УЗИсто, столько и артефактов.
Пожалуйста Войти или Регистрация, чтобы присоединиться к беседе.
- Серёга Антошин
-
- Не в сети
- Живу я здесь
-
- Не усложняй - когда все просто...
- Сообщений: 5848
- Спасибо получено: 1110
Репутация многих клиницистов, похоронена в забрюшинном пространстве (с) Черкес и соавторы
Пожалуйста Войти или Регистрация, чтобы присоединиться к беседе.
- ЭДУАРД
-
- Не в сети
- Давно я тут
-
И правильно сделали урологи! Потому что и ВЫ и Димитрий, пишите ЕРЕСЬ.....Гидронефроз это расширение члс с атрофией паренхимы....поэтому если мы принимаем толщину паренхимы от 1.2 до 2.5 см...то все расшерение члс до 1.2 см паренхимы - ПИЕЛОКАЛИКОЭКТАЗИЯ....ниже- пишем гидронефроз( и не надо играть терминами типа "гидронефротическая трансформация" )
Ересь - это религиозное понятие, у нас же не религиозный клуб!
Серега1971, это ты путаешь понятия и стадии!
Гидронефроз это расширение члс с атрофией паренхимы только в терминальной стадии!
В начальной стадии нет никакого истончения паренхимы.
Писать можно и признаки гидронефроза и гидронефротическую трансформацию, разницы нет, т.к нет принятых терминологических стандартов в УЗД.
PS: "В понятие «гидронефроз» авторы включают все случаи расширения чашечно-лоханочной системы и мочеточника вне зависимости от причин возникновения." - Грант М. Бакстер
Пол С. Сидху - УЛЬТРАЗВУКОВЫЕ ИССЛЕДОВАНИЯ МОЧЕВЫДЕЛИТЕЛЬНОЙ СИСТЕМЫ.
Русский язык очень богатый. Ересь - не только религиозное понятие.
В переносном смысле означает "отступление от общепринятых взглядов или правил, заблуждение, чепуха, вздор."
Ради Бога не обижайтесь на меня за уточнение. С такими выражениями спорят и обсуждают что-либо не просто коллеги, а друзья.
Действительно, каждый пишет, как хочет. Проблема в обучении, отсутствии стандартов. Но благодаря этому форуму мы можем всегда что-то уточнить, совершенствуемся. Это супер! Спасибо!
Пошли дальше.
Гидронефроз и гидронефротическая трансформация почки - большая редкость в моих заключениях, давно не работаю в стационаре/неотложкн. А что же я пишу? Пишу пиелоэктазия, уретеропиелоэктазия, пиелокаликоэктазия и т.п., паренхима в этих случаях в норме.
_____________________________
Улыбайтесь чаще! www.шагинян.рф
Пожалуйста Войти или Регистрация, чтобы присоединиться к беседе.
- besliu
-
- Не в сети
- Захожу иногда
-
- Сообщений: 562
- Спасибо получено: 357
2.www.uab.edu/images/peduro/SFU/...u_grading_on_web.htm
3 А вот по проще:В течении гидронефроза традиционно принято выделять три стадии, имеющие характерные объективные признаки.
На I стадии гидронефроза выявляется расширение лоханки почки (пиелоэктазия).-нам давали более 2-см
II стадия гидронефроза характеризуется расширением не только лоханки, но и чашечек почки. На этой стадии начинает страдать ткань почки, начинается ее повреждение и атрофия.
III стадия – финал развития гидронефроза. Почка полностью атрофируется, перестает функционировать и превращается, по сути, в тонкостенный мешок.
это считается гидронефротическа трансформация,но мы не пользуем этот термин
Пожалуйста Войти или Регистрация, чтобы присоединиться к беседе.
- uzidoc
-
- Не в сети
- Захожу иногда
-
- Сообщений: 466
- Спасибо получено: 281
Пожалуйста Войти или Регистрация, чтобы присоединиться к беседе.
- ЭДУАРД
-
- Не в сети
- Давно я тут
-
1.uroportal.com.ua/publ/stati_po...dronefroza/1-1-0-153
2.www.uab.edu/images/peduro/SFU/...u_grading_on_web.htm
3 А вот по проще:В течении гидронефроза традиционно принято выделять три стадии, имеющие характерные объективные признаки.
На I стадии гидронефроза выявляется расширение лоханки почки (пиелоэктазия).-нам давали более 2-см
II стадия гидронефроза характеризуется расширением не только лоханки, но и чашечек почки. На этой стадии начинает страдать ткань почки, начинается ее повреждение и атрофия.
III стадия – финал развития гидронефроза. Почка полностью атрофируется, перестает функционировать и превращается, по сути, в тонкостенный мешок.
это считается гидронефротическа трансформация,но мы не пользуем этот термин
Я говорил об этой классификации. Такую же представила ещё на 2-ой странице SWETLANA.
Только вот норма лоханки, с которой работаю, до 15 мм. Почему мы работаем с разными нормами? Вот так учат. А как измеряем ... Я вижу снимки предыдущих УЗИ, не всегда так, как измеряю я. Способ измерения уже обсуждался на форуме, не знаю к чему пришли, помню только, что Илья измеряет, как и я. Когда будем измерять одинаковым сопобом, будет большая приемственность.
_____________________________
Улыбайтесь чаще! www.шагинян.рф
Пожалуйста Войти или Регистрация, чтобы присоединиться к беседе.
- ЭДУАРД
-
- Не в сети
- Давно я тут
-
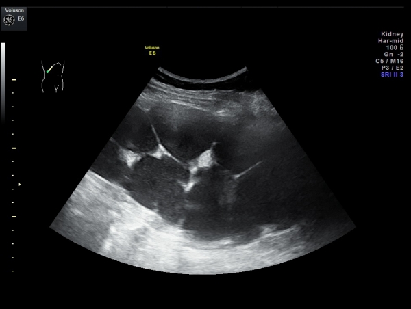
Вот гидронефротическая трансформация справа.
Спасибо за снимки, очень показательные. Лучше один раз увидеть, чем ... услышать.
Коллеги, давайте писать гидронефротическую трансформацию почки именно при такой картине (как на снимках), а не тогда, когда немного расширены лоханка и чашки.
Илья, какие выводы для себя сделали? Как теперь, после обсуждения, будете писать заключения?
_____________________________
Улыбайтесь чаще! www.шагинян.рф
Пожалуйста Войти или Регистрация, чтобы присоединиться к беседе.
- Илья
-
Автор темы
- Не в сети
- Живу я здесь
-
- Специалист по синхронному эхосканированию.
- Сообщений: 3512
- Спасибо получено: 1935
Сделал выводы благодаря вам.И действительно, надо прийти нам всем к общему знаменателю по этому вопросу.
С благодарностью создателям и участникам сайта!
Пожалуйста Войти или Регистрация, чтобы присоединиться к беседе.
- Илья
-
Автор темы
- Не в сети
- Живу я здесь
-
- Специалист по синхронному эхосканированию.
- Сообщений: 3512
- Спасибо получено: 1935
Согласен с Сергеем, но тогда вопрос,-как эту схему переложить на маленьких пациентов, у которых почки маааленькииее?
Пожалуйста Войти или Регистрация, чтобы присоединиться к беседе.
- Серёга Антошин
-
- Не в сети
- Живу я здесь
-
- Не усложняй - когда все просто...
- Сообщений: 5848
- Спасибо получено: 1110
Репутация многих клиницистов, похоронена в забрюшинном пространстве (с) Черкес и соавторы
Пожалуйста Войти или Регистрация, чтобы присоединиться к беседе.
- Илья
-
Автор темы
- Не в сети
- Живу я здесь
-
- Специалист по синхронному эхосканированию.
- Сообщений: 3512
- Спасибо получено: 1935
Пожалуйста Войти или Регистрация, чтобы присоединиться к беседе.
- Форум
- Форум врачей УЗД
- Ординаторская для врачей
- Рабочие вопросы
- Гидронефроз или гидронефротическая трансформация?
Дни рождения
- В ближайшее время дней рождения участников - нет

