Вы не авторизованы.
- Форум
- Форум врачей УЗД
- Ординаторская для врачей
- Рабочие вопросы
- Если чревный ствол отходит от верхней брыжеечной артерии, это патология?
Если чревный ствол отходит от верхней брыжеечной артерии, это патология?
- Илья
-
Автор темы
- Не в сети
- Живу я здесь
-
- Специалист по синхронному эхосканированию.
- Сообщений: 3512
- Спасибо получено: 1935
И при оценке на допплере правомерно высчитывать индекс на каждый сосуд или по отдельности считать ?
Ваше мнение коллеги?
Пожалуйста Войти или Регистрация, чтобы присоединиться к беседе.
- ДМИТРИЙ
-
- Не в сети
- Administrator
-
- Когда есть мечта, идея и решимость — возможно все!
В моей практике в последнее время участились случаи отхождения чревного ствола от верхней брыжеечной артерии. Как к этому относиться? Пугать этим лечащих врачей? Или же для начала надо обосновать самому на допплере?
И при оценке на допплере правомерно высчитывать индекс на каждый сосуд или по отдельности считать ?
Ваше мнение коллеги?
Для начала нужно от тебя видео подтверждение что ЧС отходит от ВБА!
Пожалуйста Войти или Регистрация, чтобы присоединиться к беседе.
- Илья
-
Автор темы
- Не в сети
- Живу я здесь
-
- Специалист по синхронному эхосканированию.
- Сообщений: 3512
- Спасибо получено: 1935
Пожалуйста Войти или Регистрация, чтобы присоединиться к беседе.
- Нонна
-
- Не в сети
- Живу я здесь
-
- Сообщений: 1734
- Спасибо получено: 1059
Думаю в силу физиологии это невозможно, но есть вариант отхождения от ВБА печеночной артерии и уже от нее может отходить добавочная правая печеночная артерия - вероятно, это и сбивает с толку....
Почитать www.rasfd.com/index.php?productID=659
www.usclub.ru/news/item/ultras...zenterialnyh-arterij
www.nld.by/100/stat4.htm
Спасибо вам за вопросы, Илья, очень многому научилась благодаря вам
Пожалуйста Войти или Регистрация, чтобы присоединиться к беседе.
- Михаил
-
- Не в сети
- Живу я здесь
-
- Сообщений: 2490
- Спасибо получено: 1253
Пожалуйста Войти или Регистрация, чтобы присоединиться к беседе.
- ДМИТРИЙ
-
- Не в сети
- Administrator
-
- Когда есть мечта, идея и решимость — возможно все!
Никогда такого не встречал. Я так понимаю от аорты отходит один ствол, который потом делится на ЧС и ВБА?
Так, теперь я ничего ни понимаю!
Илья, не мути если есть что показать - показывай!
Пожалуйста Войти или Регистрация, чтобы присоединиться к беседе.
- Михаил
-
- Не в сети
- Живу я здесь
-
- Сообщений: 2490
- Спасибо получено: 1253
Пожалуйста Войти или Регистрация, чтобы присоединиться к беседе.
- Нонна
-
- Не в сети
- Живу я здесь
-
- Сообщений: 1734
- Спасибо получено: 1059
" Существует разница в нормальных параметрах кровотока между артериальной системой чревного ствола и мезентериальными артериями (ВБА и НБА).
Чревный ствол кровоснабжает органы с низким сопротивлением сосудистого русла – печень и селезенку, и поэтому отражается непрерывным кровотоком, как в систолу, так и диастолу, в связи с высоким потреблением кислорода печенью и селезенкой в течение всего сердечного цикла (Рис. 3А). Существенных изменений сигнала артериальной системы чревного ствола до и после приема пищи не выявляется.
ВБА и НБА кровоснабжают слои тонкой кишки и толстой кишки с переменным сопротивлением и, таким образом волновая диаграмма имеет разную форму: с высоким сопротивлением в препрандиальном состоянии и низким сопротивлением потока в постпрандиальном состоянии (см. Рис. 3B-Е). Эта состояние связано с расширением ветвей мезентериальных сосудов в ответ на повышенные требования в кислороде кишечником после употребления пищи. Как результат, пик систолической и конечной диастолической скорости увеличивается после употребления еды, богатой липидами.
Ну и как они после этого могут отходить один от другого, если предположить такой казус?
Пожалуйста Войти или Регистрация, чтобы присоединиться к беседе.
- Илья
-
Автор темы
- Не в сети
- Живу я здесь
-
- Специалист по синхронному эхосканированию.
- Сообщений: 3512
- Спасибо получено: 1935
Пожалуйста Войти или Регистрация, чтобы присоединиться к беседе.
- Нонна
-
- Не в сети
- Живу я здесь
-
- Сообщений: 1734
- Спасибо получено: 1059
Читаем, кому интересно........www.doiserbia.nb.rs/img/doi/03...354-46641401233O.pdf
А в наших источниках нету нигде
Илья, если не сложно, при случае поснимайте хотя бы фото со спектрами в ЧС и ВБА, если это дизэмбриогенез, по идее должна быть какая-то клиника...... Еще раз спасибо!
Пожалуйста Войти или Регистрация, чтобы присоединиться к беседе.
- Илья
-
Автор темы
- Не в сети
- Живу я здесь
-
- Специалист по синхронному эхосканированию.
- Сообщений: 3512
- Спасибо получено: 1935
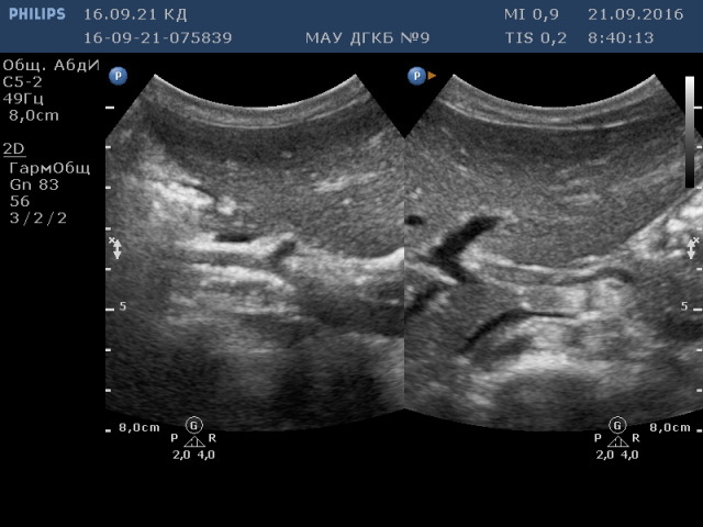
На левом фото (сагиттальная плоскость) чётко видно отхождение ЧС от ВБА
А на правом фото представлены только ветви чревного ствола (треножник Галлера).
Пожалуйста Войти или Регистрация, чтобы присоединиться к беседе.
- ДМИТРИЙ
-
- Не в сети
- Administrator
-
- Когда есть мечта, идея и решимость — возможно все!
1. ВБА
2. ЧС
3. АО
Все как всегда, очень часто ВБА и ЧС отходят от АО рядышком, практически вплотную!!!
Пожалуйста Войти или Регистрация, чтобы присоединиться к беседе.
- Нонна
-
- Не в сети
- Живу я здесь
-
- Сообщений: 1734
- Спасибо получено: 1059
или вот так - правда это случай стеноза ВБА www.ultrasoundcases.info/Slide...px?cat=198&case=2778
Пожалуйста Войти или Регистрация, чтобы присоединиться к беседе.
- Нонна
-
- Не в сети
- Живу я здесь
-
- Сообщений: 1734
- Спасибо получено: 1059
Пожалуйста Войти или Регистрация, чтобы присоединиться к беседе.
- ДМИТРИЙ
-
- Не в сети
- Administrator
-
- Когда есть мечта, идея и решимость — возможно все!
Извините, Илья, неинформативно, хотя бы вот так надо www.ultrasoundcases.info/Slide...px?cat=198&case=3208
или вот так - правда это случай стеноза ВБА www.ultrasoundcases.info/Slide...px?cat=198&case=2778
Нона, чего вы буржуйские сайты приводите в довод когда есть свои, можно сказать родные примеры из Видео галереи, снятые ещё аж в 2013 г. :
endosono.ru/menu-gelleri/sosud...afiya-vba-i-chs.html
Пожалуйста Войти или Регистрация, чтобы присоединиться к беседе.
- Форум
- Форум врачей УЗД
- Ординаторская для врачей
- Рабочие вопросы
- Если чревный ствол отходит от верхней брыжеечной артерии, это патология?
Дни рождения
- В ближайшее время дней рождения участников - нет

