Вы не авторизованы.
- Форум
- Форум врачей УЗД
- Ординаторская для врачей
- Рабочие вопросы
- О проблеме хр. холецистита и панкреатита!
О проблеме хр. холецистита и панкреатита!
- Людмила
-
- Не в сети
- Новый участник
-
- Сообщений: 72
- Спасибо получено: 7
Пожалуйста Войти или Регистрация, чтобы присоединиться к беседе.
- ДМИТРИЙ
-
Автор темы
- Не в сети
- Administrator
-
- Когда есть мечта, идея и решимость — возможно все!
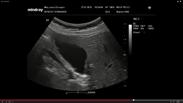
По поводу ролика Дмитрия - я бы написал здесь как раз этот пресловутый хронический холецистит, стенки фиброзно изменены.. Ну и перегиб, понятно.
Блин, что я наделал!, горе мне!!
Пациент как раз пришел с предыдущим УЗ- заключением , а я "снял" очередной хр.холецистит.
и как насчет того, что по всем канонам, толщина стенки измеряется на стороне прилежащей к печени?
Серега1971, могу и по передней стенке измерить, результат будет тот же!
Пожалуйста Войти или Регистрация, чтобы присоединиться к беседе.
- Серёга Антошин
-
- Не в сети
- Живу я здесь
-
- Не усложняй - когда все просто...
- Сообщений: 5848
- Спасибо получено: 1110
и как насчет того, что по всем канонам, толщина стенки измеряется на стороне прилежащей к печени?
Димитрий, самоувернно пишет
Серега1971, могу и по передней стенке измерить, результат будет тот же!
Давай , я даже из ставки вижу, что она меньше 2 мм
Репутация многих клиницистов, похоронена в забрюшинном пространстве (с) Черкес и соавторы
Пожалуйста Войти или Регистрация, чтобы присоединиться к беседе.
- ДМИТРИЙ
-
Автор темы
- Не в сети
- Administrator
-
- Когда есть мечта, идея и решимость — возможно все!
!
Давай , я даже из ставки вижу, что она меньше 2 мм
Ну да, где то так 2-3 мм.!
Я редко когда измеряю стенку ЖП, уже на глаз видно, что она нормальная.
Только при явной патологии.
А здесь норма!
Пожалуйста Войти или Регистрация, чтобы присоединиться к беседе.
- Татьяна
-
- Не в сети
- Новый участник
-
- Сообщений: 8
- Спасибо получено: 0
Не понимаю. На каком основании тут можно писать, что стенка фиброзно-изменена?
Всегда было споры на счет существования диагноза "хр. некалькулезный холецистит",а тут прямо на УЗИ так часто.. ...
Кто-нибудь объясните подробнее, почему так?
Пожалуйста Войти или Регистрация, чтобы присоединиться к беседе.
- Илья
-
- Не в сети
- Живу я здесь
-
- Специалист по синхронному эхосканированию.
- Сообщений: 3512
- Спасибо получено: 1935
Пожалуйста Войти или Регистрация, чтобы присоединиться к беседе.
- Ирина
-
- Не в сети
- Новый участник
-
- Сообщений: 14
- Спасибо получено: 17
Пожалуйста Войти или Регистрация, чтобы присоединиться к беседе.
- Татьяна
-
- Не в сети
- Новый участник
-
- Сообщений: 8
- Спасибо получено: 0
Про перегибы так и бывало :"у меня с рождения перегиб пузыря, меня беспокоит, а вы не написали"...
Пожалуйста Войти или Регистрация, чтобы присоединиться к беседе.
- Lakhi
-
- Не в сети
- Осваиваюсь пока
-
- Сообщений: 197
- Спасибо получено: 23
Я не волшебник, я только учусь (с)
Юлия
Пожалуйста Войти или Регистрация, чтобы присоединиться к беседе.
- besliu
-
- Не в сети
- Захожу иногда
-
- Сообщений: 562
- Спасибо получено: 357
Пожалуйста Войти или Регистрация, чтобы присоединиться к беседе.
- ДМИТРИЙ
-
Автор темы
- Не в сети
- Administrator
-
- Когда есть мечта, идея и решимость — возможно все!
sonomir.files.wordpress.com/20...1/bad-sonography.pdf
Что касается перегибов, то я почти никогда не пользуюсь этим термином, т.к почти всегда это не перегиб, а обычная изогнутость, а если это так то и писать
в заключении -"Перегиб ЖП" не нужно!
Форма ЖП то же большого клинического значения не имеет, поэтому я ее описываю, но в заключение не выношу!
Перетяжки в 95% случаях не перетяжки, а стенка изогнутого пузыря.
Пожалуйста Войти или Регистрация, чтобы присоединиться к беседе.
- Серёга Антошин
-
- Не в сети
- Живу я здесь
-
- Не усложняй - когда все просто...
- Сообщений: 5848
- Спасибо получено: 1110
sonomir.wordpress.com/ !0567!
отличный труд, буду штудировать
Репутация многих клиницистов, похоронена в забрюшинном пространстве (с) Черкес и соавторы
Пожалуйста Войти или Регистрация, чтобы присоединиться к беседе.
- Алексей
-
- Не в сети
- Живу я здесь
-
- Сообщений: 1853
- Спасибо получено: 2181
Пожалуйста Войти или Регистрация, чтобы присоединиться к беседе.
- Серёга Антошин
-
- Не в сети
- Живу я здесь
-
- Не усложняй - когда все просто...
- Сообщений: 5848
- Спасибо получено: 1110
Книжка хорошая для тех, кто искренне заблуждается!
sonomir.files.wordpress.com/20...1/bad-sonography.pdf
Что касается перегибов, то я почти никогда не пользуюсь этим термином, т.к почти всегда это не перегиб, а обычная изогнутость, а если это так то и писать
в заключении -"Перегиб ЖП" не нужно!
Форма ЖП то же большого клинического значения не имеет, поэтому я ее описываю, но в заключение не выношу!
Перетяжки в 95% случаях не перетяжки, а стенка изогнутого пузыря.
Скажешь это в глаза Ольховой и Дворяковскому?
Репутация многих клиницистов, похоронена в забрюшинном пространстве (с) Черкес и соавторы
Пожалуйста Войти или Регистрация, чтобы присоединиться к беседе.
- ДМИТРИЙ
-
Автор темы
- Не в сети
- Administrator
-
- Когда есть мечта, идея и решимость — возможно все!
Книжка хорошая для тех, кто искренне заблуждается!
sonomir.files.wordpress.com/20...1/bad-sonography.pdf
Что касается перегибов, то я почти никогда не пользуюсь этим термином, т.к почти всегда это не перегиб, а обычная изогнутость, а если это так то и писать
в заключении -"Перегиб ЖП" не нужно!
Форма ЖП то же большого клинического значения не имеет, поэтому я ее описываю, но в заключение не выношу!
Перетяжки в 95% случаях не перетяжки, а стенка изогнутого пузыря.
Скажешь это в глаза Ольховой и Дворяковскому?
При встрече, обязательно!
Вообще Кирилл прав, читать нужно больше зарубежной литературы, там меньше воды, типа перегибов ЖП и дискинезии ЖВС, а перетяжки ВООБЩЕ редкость т.к это врожденная патология.
Вот хорошая книжка: Clinical Ultrasound. Two Volumes (3 edition), под ред. Paul L.Allan at al.
Год выпуска 2011
Часть сообщения скрыта для гостей. Пожалуйста, авторизуйтесь или зарегистрируйтесь, чтобы увидеть его.
Вы там мути не найдете!
Пожалуйста Войти или Регистрация, чтобы присоединиться к беседе.
- Форум
- Форум врачей УЗД
- Ординаторская для врачей
- Рабочие вопросы
- О проблеме хр. холецистита и панкреатита!
Дни рождения
- В ближайшее время дней рождения участников - нет

